The GGT1 Antibody (CAB1776) is a high-quality antibody developed for reliable detection and analysis of target proteins. The enzyme encoded by this gene is a type I gamma-glutamyltransferase that catalyzes the transfer of the glutamyl moiety of glutathione to a variety of amino acids and dipeptide acceptors. The enzyme is composed of a heavy chain and a light chain, which are derived from a single precursor protein. It is expressed in tissues involved in absorption and secretion and may contribute to the etiology of diabetes and other metabolic disorders. Multiple alternatively spliced variants have been identified. There are a number of related genes present on chromosomes 20 and 22, and putative pseudogenes for this gene on chromosomes 2, 13, and 22.
This antibody is validated for use in WB, IHC-P, ELISA applications and has demonstrated reactivity against Human, Mouse, Rat samples.
Product Name:
GGT1 Antibody
SKU:
CAB1776
Size:
100μL, 20μL
Reactivity:
Human, Mouse, Rat
Conjugate:
Unconjugated
Immunogen:
Recombinant protein (or fragment).This information is considered to be commercially sensitive.
Tested Applications:
WBIHC-PELISA
Recommended Dilution:
WB
1:500 - 1:2000
IHC-P
1:50 - 1:200
ELISA
Recommended starting concentration is 1 μg/mL. Please optimize the concentration based on your specific assay requirements.
Cell Membrane, Single-Pass Type Ii Membrane Protein.
Calculated MW:
61KDa/39KDa/24KDa
Observed MW:
25KDa/75KDa
The enzyme encoded by this gene is a type I gamma-glutamyltransferase that catalyzes the transfer of the glutamyl moiety of glutathione to a variety of amino acids and dipeptide acceptors. The enzyme is composed of a heavy chain and a light chain, which are derived from a single precursor protein. It is expressed in tissues involved in absorption and secretion and may contribute to the etiology of diabetes and other metabolic disorders. Multiple alternatively spliced variants have been identified. There are a number of related genes present on chromosomes 20 and 22, and putative pseudogenes for this gene on chromosomes 2, 13, and 22.
Purification Method
Affinity purification
Gene ID
2678
RRID
AB_2763818
Buffer Information
Store at -20℃. Avoid freeze / thaw cycles. Buffer: PBS containing 50% glycerol, preserved with proclin300 or sodium azide, pH 7.3.
Western blot analysis of various lysates using GGT1 Rabbit pAb (CAB1776) at 1:1000 dilution. Secondary antibody: HRP-conjugated Goat anti-Rabbit IgG (H+L) (AS014) at 1:10000 dilution. Lysates/proteins: 25μg per lane. Blocking buffer: 3% nonfat dry milk in TBST. Detection: ECL Enhanced Kit (AbGn00021). Exposure time: 90s.
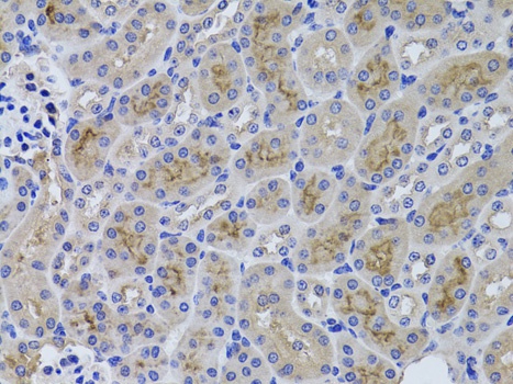
Immunohistochemistry analysis of paraffin-embedded Rat kidney using GGT1 Rabbit pAb (CAB1776) at dilution of 1:100 (40x lens). Microwave antigen retrieval performed with 0.01M PBS Buffer (pH 7.2) prior to IHC staining.
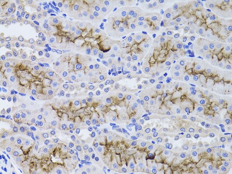
Immunohistochemistry analysis of paraffin-embedded Mouse kidney using GGT1 Rabbit pAb (CAB1776) at dilution of 1:100 (40x lens). Microwave antigen retrieval performed with 0.01M PBS Buffer (pH 7.2) prior to IHC staining.