The GLOD4 Antibody (CAB9216) is a high-quality antibody developed for reliable detection and analysis of target proteins. This antibody, produced in rabbits, is highly specific to human samples and has been validated for use in Western blot applications. By binding to the GLOD4 protein, this antibody enables the detection and analysis of GLOD4 in a variety of cell types, making it an ideal choice for studies in molecular biology, biochemistry, and metabolic research.
This antibody is validated for use in WB, ELISA applications and has demonstrated reactivity against Human, Mouse samples.
Product Name:
GLOD4 Antibody
SKU:
CAB9216
Size:
20μL, 100μL
Reactivity:
Human, Mouse
Conjugate:
Unconjugated
Immunogen:
Recombinant protein (or fragment).This information is considered to be commercially sensitive.
Recommended starting concentration is 1 μg/mL. Please optimize the concentration based on your specific assay requirements.
Synonyms:
HC6, HC71, CGI-150, C17orf25, GLOD4
Positive Sample:
U-87MG, 293T, HepG2, Mouse brain, Mouse kidney
Cellular Localization:
Mitochondrion.
Calculated MW:
35kDa
Observed MW:
30-37kDa
Enables cadherin binding activity. Located in extracellular exosome.
Purification Method
Affinity purification
Gene ID
51031
RRID
AB_2769617
Buffer Information
Store at -20℃. Avoid freeze / thaw cycles. Buffer: PBS with 0.01% thimerosal,50% glycerol,pH7.3.
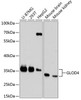
Western blot analysis of various lysates using GLOD4 Rabbit pAb (CAB9216) at 1:3000 dilution. Secondary antibody: HRP-conjugated Goat anti-Rabbit IgG (H+L) (CABS014) at 1:10000 dilution. Lysates/proteins: 25μg per lane. Blocking buffer: 3% nonfat dry milk in TBST. Detection: ECL Basic Kit (AbGn00020). Exposure time: 90s.