The HMGA1 Antibody (CAB1635) is a high-quality antibody developed for reliable detection and analysis of target proteins. This gene encodes a chromatin-associated protein involved in the regulation of gene transcription, integration of retroviruses into chromosomes, and the metastatic progression of cancer cells. The encoded protein preferentially binds to the minor groove of AT-rich regions in double-stranded DNA. Multiple transcript variants encoding different isoforms have been found for this gene. Pseudogenes of this gene have been identified on multiple chromosomes. RRID AB_2763693 Gene ID 3159 Swiss Prot Synonym HMG-R; HMGIY; HMGA1A; HMGA1
This antibody is validated for use in WB, IHC-P, ELISA applications and has demonstrated reactivity against Human, Mouse samples.
Product Name:
HMGA1 Antibody
SKU:
CAB1635
Size:
100μL, 20μL
Reactivity:
Human, Mouse
Clone Number:
-
Conjugate:
Unconjugated
Immunogen:
Synthetic peptide. This information is considered to be commercially sensitive.
Tested Applications:
WBIHC-PELISA
Recommended Dilution:
WB
1:500 - 1:2000
IHC-P
1:50 - 1:200
ELISA
Recommended starting concentration is 1 μg/mL. Please optimize the concentration based on your specific assay requirements.
Synonyms:
HMG-R, HMGIY, HMGA1A, HMGA1
Positive Sample:
293T
Cellular Localization:
Chromosome, Nucleus.
Calculated MW:
12 kDa
Observed MW:
18 kDa
This gene encodes a chromatin-associated protein involved in the regulation of gene transcription, integration of retroviruses into chromosomes, and the metastatic progression of cancer cells. The encoded protein preferentially binds to the minor groove of AT-rich regions in double-stranded DNA. Multiple transcript variants encoding different isoforms have been found for this gene. Pseudogenes of this gene have been identified on multiple chromosomes. RRID AB_2763693 Gene ID 3159 Swiss Prot Synonym HMG-R; HMGIY; HMGA1A; HMGA1
Purification Method:
Affinity purification
Gene ID:
3159
RRID:
AB_2763693
Buffer Information:
Store at -20℃. Avoid freeze / thaw cycles. Buffer: PBS containing 50% glycerol, preserved with proclin300 or sodium azide, pH 7.3.
Western blot analysis of lysates from 293T cells, using HMGA1 Rabbit pAb (CAB1635) at 1:3000 dilution._Secondary antibody: HRP-conjugated Goat anti-Rabbit IgG (H+L) (AS014) at 1:10000 dilution._Lysates/proteins: 25μg per lane._Blocking buffer: 3% nonfat dry milk in TBST._Detection: ECL Enhanced Kit (AbGn00021)._Exposure time: 90s.
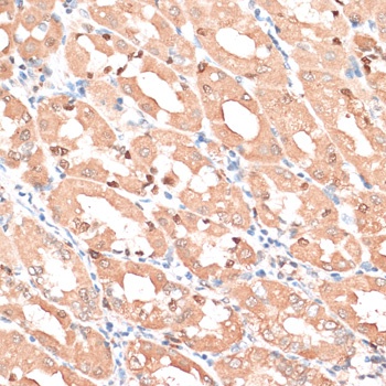
Immunohistochemistry analysis of paraffin-embedded Human stomach using HMGA1 Rabbit pAb (CAB1635) at dilution of 1:100 (40x lens). Microwave antigen retrieval performed with 0.01M PBS Buffer (pH 7.2) prior to IHC staining.