Human IgG4/Immunoglobulin heavy constant gamma 4 Polyclonal Antibody (CAB24655)
The Human IgG4/Immunoglobulin heavy constant gamma 4 Polyclonal Antibody (CAB24655) is a high-quality antibody developed for reliable detection and analysis of target proteins. Immunoglobulin G (IgG), is one of the most abundant protein in human serum with normal levels between 8-17 mg/ml in adult blood. IgG is important for our defence against microorganisms and the molecules are produced by B-lymphocytes as a part of our adaptive immune response. The IgG molecule has two separate functions; to bind to the pathogen that elicited the response and to recruit other cells and molecules to destroy the antigen. The variability of the IgG pool is generated by somatic recombination and the number of specificities in an individual at a given time point is estimated to be 1011 variants.
This antibody is validated for use in WB, ELISA applications and has demonstrated reactivity against Human samples.
Product Name:
Human IgG4/Immunoglobulin heavy constant gamma 4 Polyclonal Antibody
SKU:
CAB24655
Size:
100μL, 20μL
Reactivity:
Human
Conjugate:
Unconjugated
Immunogen:
Synthetic peptide. This information is considered to be commercially sensitive.
Tested Applications:
WBELISA
Recommended Dilution:
WB
1:500 - 1:1000
ELISA
Recommended starting concentration is 1 μg/mL. Please optimize the concentration based on your specific assay requirements.
Synonyms:
IGHG4, Ig gamma-4 chain C region, Human IgG4/Immunoglobulin heavy constant gamma 4
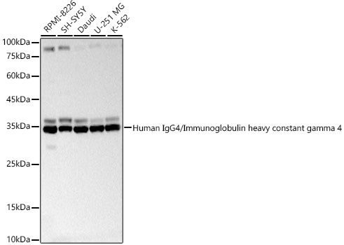
Positive Sample:
RPMI-8226, SH-SY5Y, Daudi, U-251 MG, K-562
Cellular Localization:
Secreted.
Calculated MW:
44kDa
Observed MW:
36kDa
Immunoglobulin G (IgG), is one of the most abundant protein in human serum with normal levels between 8-17 mg/ml in adult blood. IgG is important for our defence against microorganisms and the molecules are produced by B-lymphocytes as a part of our adaptive immune response. The IgG molecule has two separate functions; to bind to the pathogen that elicited the response and to recruit other cells and molecules to destroy the antigen. The variability of the IgG pool is generated by somatic recombination and the number of specificities in an individual at a given time point is estimated to be 1011 variants.
Purification Method
Affinity purification
Buffer Information
Store at -20℃. Avoid freeze / thaw cycles. Buffer: PBS containing 50% glycerol, preserved with proclin300 or sodium azide, pH 7.3.
Western blot analysis of various lysates, using Human IgG4/Immunoglobulin heavy constant gamma 4 Rabbit pAb (CAB24655) at 1:1000 dilution. Secondary antibody: HRP-conjugated Goat anti-Rabbit IgG (H+L) (AS014) at 1:10000 dilution. Lysates/proteins: 25μg per lane. Blocking buffer: 3% nonfat dry milk in TBST. Detection: ECL Basic Kit (AbGn00020). Exposure time: 30s.