The KIF14 Antibody (CAB10275) is a high-quality antibody developed for reliable detection and analysis of target proteins. This gene encodes a member of the kinesin-3 superfamily of microtubule motor proteins. These proteins are involved in numerous processes including vesicle transport, chromosome segregation, mitotic spindle formation, and cytokinesis. In human HeLa-S3 and 293T cells, this protein is localized to the cytoplasm during interphase, to the spindle poles and spindle microtubules during mitosis, and to the midbody during cytokinesis. An internal motor domain displays microtubule-dependent ATPase activity, consistent with its function as a microtubule motor protein. Knockdown of this gene results in failed cytokinesis with endoreplication, which results in multinucleated cells. This gene has been identified as a likely oncogene in breast, lung and ovarian cancers, as well as retinoblastomas and gliomas. Alternative splicing results in multiple transcript variants.
This antibody is validated for use in WB, IHC-P, IF/ICC, ELISA applications and has demonstrated reactivity against Human, Mouse, Rat samples.
Product Name:
KIF14 Antibody
SKU:
CAB10275
Size:
100μL, 20μL
Reactivity:
Human, Mouse, Rat
Conjugate:
Unconjugated
Immunogen:
Recombinant protein (or fragment).This information is considered to be commercially sensitive.
Tested Applications:
WBIHC-PIF/ICCELISA
Recommended Dilution:
WB
1:1000 - 1:2000
IHC-P
1:50 - 1:200
IF/ICC
1:50 - 1:200
ELISA
Recommended starting concentration is 1 μg/mL. Please optimize the concentration based on your specific assay requirements.
This gene encodes a member of the kinesin-3 superfamily of microtubule motor proteins. These proteins are involved in numerous processes including vesicle transport, chromosome segregation, mitotic spindle formation, and cytokinesis. In human HeLa-S3 and 293T cells, this protein is localized to the cytoplasm during interphase, to the spindle poles and spindle microtubules during mitosis, and to the midbody during cytokinesis. An internal motor domain displays microtubule-dependent ATPase activity, consistent with its function as a microtubule motor protein. Knockdown of this gene results in failed cytokinesis with endoreplication, which results in multinucleated cells. This gene has been identified as a likely oncogene in breast, lung and ovarian cancers, as well as retinoblastomas and gliomas. Alternative splicing results in multiple transcript variants.
Purification Method
Affinity purification
Gene ID
9928
RRID
AB_2757803
Buffer Information
Store at -20℃. Avoid freeze / thaw cycles. Buffer: PBS containing 50% glycerol, preserved with proclin300 or sodium azide, pH 7.3.
Western blot analysis of various lysates using KIF14 Rabbit pAb (CAB10275) at 1:1000 dilution. Secondary antibody: HRP-conjugated Goat anti-Rabbit IgG (H+L) (AS014) at 1:10000 dilution. Lysates/proteins: 25μg per lane. Blocking buffer: 3% nonfat dry milk in TBST. Detection: ECL Basic Kit (AbGn00020). Exposure time: 15s.
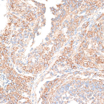
Immunohistochemistry analysis of paraffin-embedded Rat ovary using KIF14 Rabbit pAb (CAB10275) at dilution of 1:100 (40x lens). Microwave antigen retrieval performed with 0.01M PBS Buffer (pH 7.2) prior to IHC staining.
Immunofluorescence analysis of L929 cells using KIF14 Rabbit pAb (CAB10275) at dilution of 1:100 (40x lens). Secondary antibody: Cy3-conjugated Goat anti-Rabbit IgG (H+L) (AS007) at 1:500 dilution. Blue: DAPI for nuclear staining.
Immunofluorescence analysis of U-2 OS cells using KIF14 Rabbit pAb (CAB10275) at dilution of 1:100 (40x lens). Secondary antibody: Cy3-conjugated Goat anti-Rabbit IgG (H+L) (AS007) at 1:500 dilution. Blue: DAPI for nuclear staining.