The YAP1 Polyclonal Antibody (CAB1002) is a high-quality antibody developed for reliable detection and analysis of target proteins. This gene encodes a downstream nuclear effector of the Hippo signaling pathway which is involved in development, growth, repair, and homeostasis. This gene is known to play a role in the development and progression of multiple cancers as a transcriptional regulator of this signaling pathway and may function as a potential target for cancer treatment. Alternative splicing results in multiple transcript variants encoding different isoforms. RRID AB_2757539 Gene ID 10413 Swiss Prot Synonym YAP; YKI; COB1; YAP2; YAP-1; YAP65; YAP1
This antibody is validated for use in WB, IHC-P, IF/ICC, IP, ELISA applications and has demonstrated reactivity against Human, Mouse samples.
Product Name:
YAP1 Polyclonal Antibody
SKU:
CAB1002
Size:
100μL, 20μL
Reactivity:
Human, Mouse
Clone Number:
-
Conjugate:
Unconjugated
Immunogen:
Recombinant protein (or fragment).This information is considered to be commercially sensitive.
Tested Applications:
WBIHC-PIF/ICCIPELISA
Recommended Dilution:
WB
1:2000 - 1:20000
IHC-P
1:500 - 1:1000
IF
/
ICC
1:50 - 1:200
IP
0.5μg-4μg antibody for 200μg-400μg extracts of whole cells
ELISA
Recommended starting concentration is 1 μg/mL. Please optimize the concentration based on your specific assay requirements.
Synonyms:
YAP, YKI, COB1, YAP2, YAP-1, YAP65, YAP1
Positive Sample:
HeLa
Cellular Localization:
Cytoplasm, Nucleus.
Calculated MW:
54kDa
Observed MW:
70kDa
This gene encodes a downstream nuclear effector of the Hippo signaling pathway which is involved in development, growth, repair, and homeostasis. This gene is known to play a role in the development and progression of multiple cancers as a transcriptional regulator of this signaling pathway and may function as a potential target for cancer treatment. Alternative splicing results in multiple transcript variants encoding different isoforms. RRID AB_2757539 Gene ID 10413 Swiss Prot Synonym YAP; YKI; COB1; YAP2; YAP-1; YAP65; YAP1
Purification Method:
Affinity purification
Gene ID:
10413
RRID:
AB_2757539
Buffer Information:
Store at -20℃. Avoid freeze / thaw cycles. Buffer: PBS containing 50% glycerol, preserved with proclin300 or sodium azide, pH 7.3.
Western blot analysis of lysates from wild type (WT) and YAP1 knockout (KO) HeLa cells using YAP1 Rabbit pAb (CAB1002) at 1:2000 dilution. Secondary antibody: HRP-conjugated Goat anti-Rabbit IgG (H+L) (AS014) at 1:10000 dilution. Lysates/proteins: 25 μg per lane. Blocking buffer: 3% nonfat dry milk in TBST. Detection: ECL Basic Kit (AbGn00020). Exposure time: 30s.
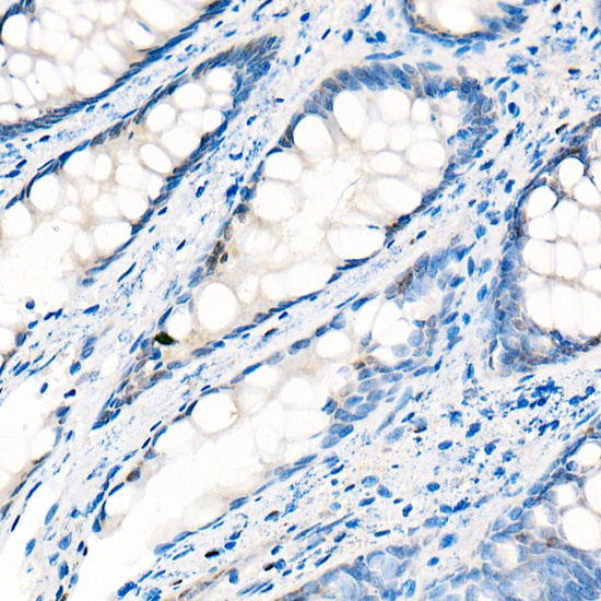
Immunohistochemistry analysis of paraffin-embedded Human colon (low expression samples) using YAP1 Rabbit pAb (CAB1002) at dilution of 1:1000 (40x lens). High pressure antigen retrieval performed with 0.01M Citrate buffer (pH 6.0) prior to IHC staining.
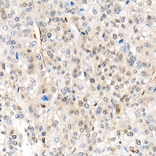
Immunohistochemistry analysis of paraffin-embedded Human liver cancer using YAP1 Rabbit pAb (CAB1002) at dilution of 1:1000 (40x lens). High pressure antigen retrieval performed with 0.01M Citrate buffer (pH 6.0) prior to IHC staining.
Confocal immunofluorescence analysis of U2OS cells using YAP1 Rabbit pAb (CAB1002) at dilution of 1:200. Blue: DAPI for nuclear staining.
Immunofluorescence analysis of NIH/3T3 cells using YAP1 Rabbit pAb (CAB1002) at dilution of 1:100 (40x lens). Secondary antibody: Cy3-conjugated Goat anti-Rabbit IgG (H+L) (AS007) at 1:500 dilution. Blue: DAPI for nuclear staining.
Immunoprecipitation analysis of 300 μg extracts of HeLa cells using 3 μg YAP1 antibody (CAB1002). Western blot was performed from the immunoprecipitate using YAP1 antibody (CAB1002) at a dilution of 1:1000.
Immunoprecipitation analysis of 300 μg extracts of HeLa cells using 3 μg YAP1 antibody (CAB1002). Western blot was performed from the immunoprecipitate using YAP1 (CAB1002) at a dilution of 1:1000.