Lbp Antibody is a premium polyclonal that offers outstanding performance and reliability for demanding research applications. Rigorously validated for ELISA, IHC, this antibody ensures consistent, reproducible results across multiple experimental platforms. Demonstrates excellent reactivity with Rat samples, providing researchers with confidence in cross-species compatibility. Conveniently packaged in 50ul format to meet your experimental needs. For optimal performance, store at -20°C or -80°C and maintains stability for 12 months. Backed by rigorous quality control testing to ensure superior performance in your critical research applications.
Product Name:
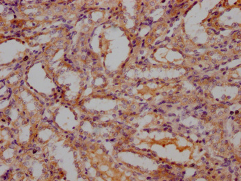
Lbp Antibody (PACO64287)
SKU:
PACO64287
Size:
50μl
Isotype:
IgG
Host Species:
Rabbit
Reactivity:
Rat
Immunogen:
Peptide sequence from Rat Lipopolysaccharide-binding protein (250-264AA)
Immunogen Species:
Rattus norvegicus (Rat)
Uniprot No:
Q63313
Form:
Liquid
Tested Applications:
ELISAIHC
Recommended Dilution:
IHC 1:200-1:500
Synonyms:
LbpLipopolysaccharide-binding protein antibody, LBP antibody
IHC image of PACO64287 diluted at 1:300 and staining in paraffin-embedded Rat kidney tissue performed on a Leica BondTM system. After dewaxing and hydration, antigen retrieval was mediated by high pressure in a citrate buffer (pH 6.0). Section was blocked with 10% normal goat serum 30min at RT. Then primary antibody (1% BSA) was incubated at 4°C overnight. The primary is detected by a Goat anti-rabbit polymer IgG labeled by HRP and visualized using 0.05% DAB.