The MAN1A2 Antibody (CAB14271) is a high-quality antibody developed for reliable detection and analysis of target proteins. Alpha-mannosidases function at different stages of N-glycan maturation in mammalian cells. See MAN2A1 (MIM 154582) for general information.
This antibody is validated for use in WB, IHC-P, ELISA applications and has demonstrated reactivity against Human, Mouse samples.
Product Name:
MAN1A2 Antibody
SKU:
CAB14271
Size:
100μL, 20μL
Reactivity:
Human, Mouse
Conjugate:
Unconjugated
Immunogen:
Recombinant protein (or fragment).This information is considered to be commercially sensitive.
Tested Applications:
WBIHC-PELISA
Recommended Dilution:
WB
1:500 - 1:2000
IHC-P
1:50 - 1:200
ELISA
Recommended starting concentration is 1 μg/mL. Please optimize the concentration based on your specific assay requirements.
Synonyms:
MAN1B, MAN1A2
Positive Sample:
LO2, A-549, Mouse brain, Mouse liver
Cellular Localization:
Golgi Apparatus Membrane, Single-Pass Type Ii Membrane Protein.
Calculated MW:
73kDa
Observed MW:
73kDa
Alpha-mannosidases function at different stages of N-glycan maturation in mammalian cells. See MAN2A1 (MIM 154582) for general information.
Purification Method
Affinity purification
Gene ID
10905
RRID
AB_2761134
Buffer Information
Store at -20℃. Avoid freeze / thaw cycles. Buffer: PBS with 0.01% thimerosal,50% glycerol,pH7.3.
Western blot analysis of various lysates using MAN1A2 Rabbit pAb (CAB14271) at 1:1000 dilution. Secondary antibody: HRP-conjugated Goat anti-Rabbit IgG (H+L) (AS014) at 1:10000 dilution. Lysates/proteins: 25μg per lane. Blocking buffer: 3% nonfat dry milk in TBST. Detection: ECL Basic Kit (AbGn00020). Exposure time: 30s.
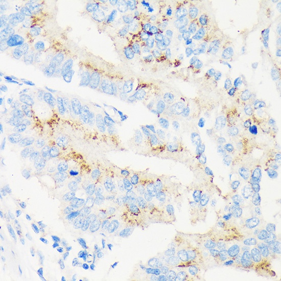
Immunohistochemistry analysis of paraffin-embedded Human colon carcinoma using MAN1A2 Rabbit pAb (CAB14271) at dilution of 1:100 (40x lens). Microwave antigen retrieval performed with 0.01M PBS Buffer (pH 7.2) prior to IHC staining.