NBPF3 Antibody is a premium polyclonal that offers outstanding performance and reliability for demanding research applications. Rigorously validated for ELISA, WB, IHC, this antibody ensures consistent, reproducible results across multiple experimental platforms. Demonstrates excellent reactivity with Human samples, providing researchers with confidence in cross-species compatibility. Conveniently packaged in 50ug format to meet your experimental needs. For optimal performance, store at -20°C or -80°C and maintains stability for 12 months. Backed by rigorous quality control testing to ensure superior performance in your critical research applications.
Product Name:
NBPF3 Antibody (PACO41046)
SKU:
PACO41046
Size:
50μg
Isotype:
IgG
Host Species:
Rabbit
Reactivity:
Human
Immunogen:
Recombinant Human Neuroblastoma breakpoint family member 3 protein (1-252AA)
Immunogen Species:
Homo sapiens (Human)
Uniprot No:
Q9H094
Form:
Liquid
Tested Applications:
ELISAWBIHC
Recommended Dilution:
WB 1:1000-1:5000, IHC 1:20-1:200
Synonyms:
AE2 antibody, NBPF3 antibody, NBPF3_HUMAN antibody, Neuroblastoma breakpoint family member 3 antibody, Protein AE2 antibody, Protein SHIIIa4 antibody, RP11-293F5.5 antibody
Western blot All lanes: NBPF3 antibody at 1.2µg/ml Lane 1: PC-3 whole cell lysate Lane 2: HT29 whole cell lysate Secondary Goat polyclonal to rabbit IgG at 1/10000 dilution Predicted band size: 73, 68, 72, 33, 66 kDa Observed band size: 73 kDa
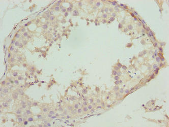
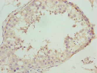
Immunohistochemistry of paraffin-embedded human testis tissue using PACO41046 at dilution of 1:100
Immunohistochemistry of paraffin-embedded human colon tissue using PACO41046 at dilution of 1:100