The NME2 Polyclonal Antibody (CAB7443) is an essential tool for researchers studying NME2, a nucleoside diphosphate kinase involved in tumor metastasis and cell migration. This antibody, produced in rabbits, exhibits high specificity for NME2 and is suitable for use in Western blotting applications. By binding to the NME2 protein, researchers can accurately detect and analyze its expression in various cell types, making it an ideal choice for investigations in cancer biology and metastasis research.NME2, also known as NM23-H2, is a multifunctional enzyme that plays a crucial role in controlling cell proliferation, differentiation, and apoptosis.
Its involvement in tumor progression and metastasis makes it a promising therapeutic target for cancer treatment. By elucidating the mechanisms by which NME2 operates, researchers can uncover potential strategies for combating cancer metastasis and improving patient outcomes.Overall, the NME2 Polyclonal Antibody is a valuable tool for researchers seeking to explore the functions of NME2 and its implications in cancer biology. Its high reactivity and specificity make it a reliable reagent for Western blot analysis, enabling precise measurements of NME2 expression levels in various experimental settings.
Product Name:
NME2/NM23B Rabbit Polyclonal Antibody
SKU:
CAB7443
Size:
20uL, 100uL
Isotype:
IgG
Host Species:
Rabbit
Reactivity:
Human,Mouse,Rat
Immunogen:
Recombinant fusion protein containing a sequence corresponding to amino acids 1-152 of human NME2/NM23B (NP_001018148.1).
Nucleoside diphosphate kinase (NDK) exists as a hexamer composed of 'A' (encoded by NME1) and 'B' (encoded by this gene) isoforms. Multiple alternatively spliced transcript variants have been found for this gene. Read-through transcription from the neighboring upstream gene (NME1) generates naturally-occurring transcripts (NME1-NME2) that encode a fusion protein comprised of sequence sharing identity with each individual gene product.
Purification Method:
Affinity purification
Gene ID:
4831
Storage Buffer:
Store at -20℃. Avoid freeze / thaw cycles.Buffer: PBS with 0.02% sodium azide,50% glycerol,pH7.3.
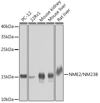
Western blot analysis of various lysates using NME2/NM23B Rabbit pAb (CAB7443) at 1:1000 dilution.Secondary antibody: HRP Goat Anti-Rabbit IgG (H+L) (CABS014) at 1:10000 dilution.Lysates/proteins: 25μg per lane.Blocking buffer: 3% nonfat dry milk in TBST.Detection: ECL Basic Kit (AbGn00020).Exposure time: 30s.