The PAR2 Monoclonal Antibody (CAB5103) is a high-quality antibody developed for reliable detection and analysis of target proteins. This gene encodes a member of the G-protein coupled receptor 1 family of proteins. The encoded cell surface receptor is activated through proteolytic cleavage of its extracellular amino terminus, resulting in a new amino terminus that acts as a tethered ligand that binds to an extracellular loop domain. Activation of the receptor has been shown to stimulate vascular smooth muscle relaxation, dilate blood vessels, increase blood flow, and lower blood pressure. This protein is also important in the inflammatory response, as well as innate and adaptive immunity. RRID AB_2863445 Gene ID 2150 Swiss Prot Synonym PAR2; GPR11
This antibody is validated for use in WB, IHC-P, ELISA applications and has demonstrated reactivity against Human, Mouse, Rat samples.
Product Name:
PAR2 Monoclonal Antibody
SKU:
CAB5103
Size:
100μL, 20μL
Reactivity:
Human, Mouse, Rat
Clone Number:
ARC1246
Conjugate:
Unconjugated
Immunogen:
Synthetic peptide. This information is considered to be commercially sensitive.
Tested Applications:
WBIHC-PELISA
Recommended Dilution:
WB
1:500 - 1:2000
IHC-P
1:500 - 1:2000
ELISA
Recommended starting concentration is 1 μg/mL. Please optimize the concentration based on your specific assay requirements.
Synonyms:
PAR2, GPR11
Positive Sample:
HCT 116, Hep G2, BxPC-3, Mouse large intestine, Rat large intestine
Cellular Localization:
Cell Membrane, Multi-Pass Membrane Protein.
Calculated MW:
44kDa
Observed MW:
55kDa
This gene encodes a member of the G-protein coupled receptor 1 family of proteins. The encoded cell surface receptor is activated through proteolytic cleavage of its extracellular amino terminus, resulting in a new amino terminus that acts as a tethered ligand that binds to an extracellular loop domain. Activation of the receptor has been shown to stimulate vascular smooth muscle relaxation, dilate blood vessels, increase blood flow, and lower blood pressure. This protein is also important in the inflammatory response, as well as innate and adaptive immunity. RRID AB_2863445 Gene ID 2150 Swiss Prot Synonym PAR2; GPR11
Purification Method:
Affinity purification
Gene ID:
2150
RRID:
AB_2863445
Buffer Information:
Store at -20℃. Avoid freeze / thaw cycles. Buffer: PBS containing 50% glycerol and 0.05% BSA, preserved with proclin300 or sodium azide, pH 7.3.
Western blot analysis of various lysates using PAR2 Rabbit mAb (CAB5103) at 1:1000 dilution. Secondary antibody: HRP-conjugated Goat anti-Rabbit IgG (H+L) (AS014) at 1:10000 dilution. Lysates/proteins: 25μg per lane. Blocking buffer: 3% nonfat dry milk in TBST. Detection: ECL Basic Kit (AbGn00020). Exposure time: 3min.
Western blot analysis of lysates from Rat large intestine, using PAR2 Rabbit mAb (CAB5103) at 1:1000 dilution. Secondary antibody: HRP-conjugated Goat anti-Rabbit IgG (H+L) (AS014) at 1:10000 dilution. Lysates/proteins: 25μg per lane. Blocking buffer: 3% nonfat dry milk in TBST. Detection: ECL Enhanced Kit (AbGn00021). Exposure time: 3min.
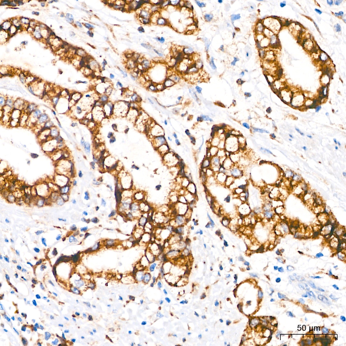
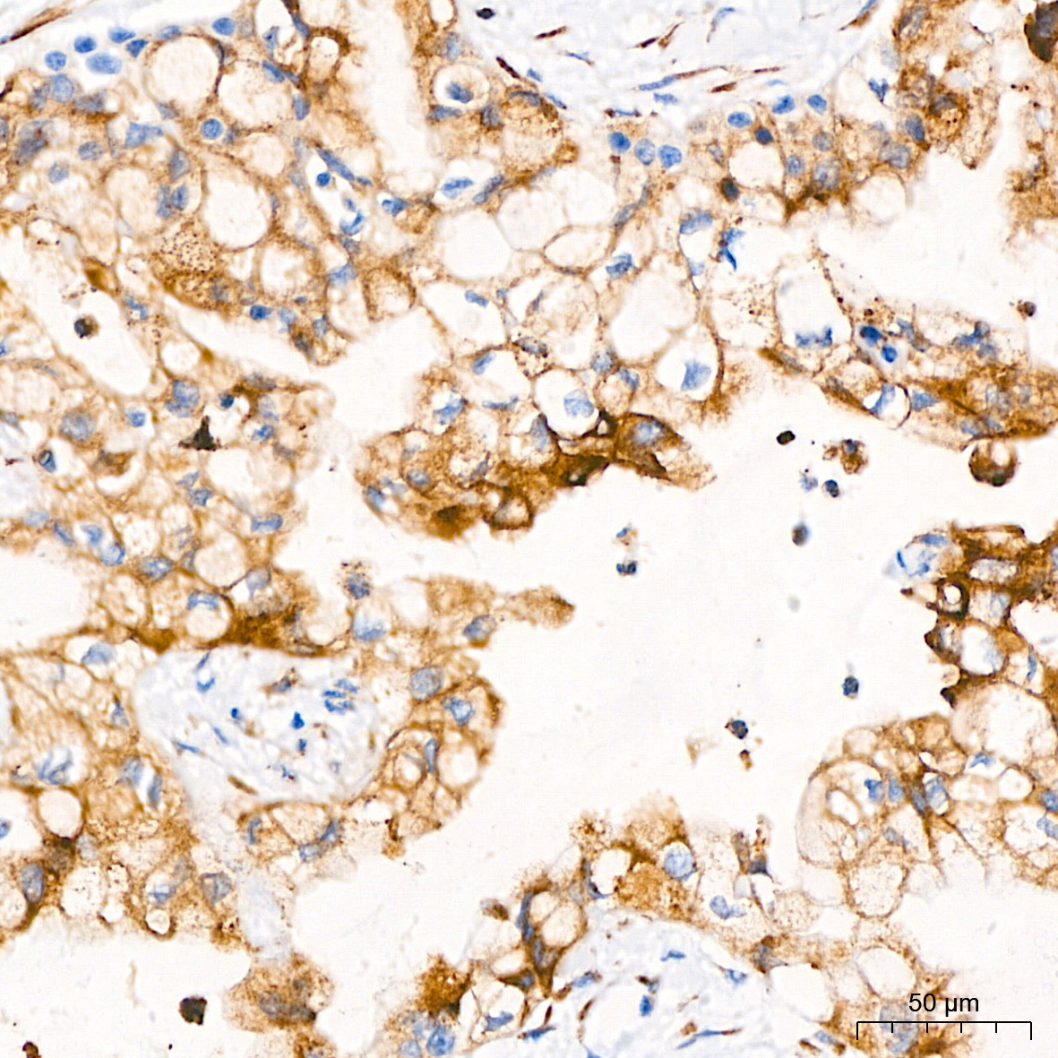
Immunohistochemistry analysis of paraffin-embedded Human breast cancer tissue using PAR2 Rabbit mAb (CAB5103) at a dilution of 1:500 (40x lens). High pressure antigen retrieval performed with 0.01M Tris-EDTA Buffer (pH 9.0) prior to IHC staining.
Immunohistochemistry analysis of paraffin-embedded Human colon carcinoma tissue using PAR2 Rabbit mAb (CAB5103) at a dilution of 1:500 (40x lens). High pressure antigen retrieval performed with 0.01M Tris-EDTA Buffer (pH 9.0) prior to IHC staining.
Immunohistochemistry analysis of paraffin-embedded Human gastric cancer tissue using PAR2 Rabbit mAb (CAB5103) at a dilution of 1:500 (40x lens). High pressure antigen retrieval performed with 0.01M Tris-EDTA Buffer (pH 9.0) prior to IHC staining.
Immunohistochemistry analysis of paraffin-embedded Human pancreatic cancer tissue using PAR2 Rabbit mAb (CAB5103) at a dilution of 1:500 (40x lens). High pressure antigen retrieval performed with 0.01M Tris-EDTA Buffer (pH 9.0) prior to IHC staining.