The PEPCK/PCK2 Polyclonal Antibody (CAB21529) is a high-quality antibody developed for reliable detection and analysis of target proteins. This gene encodes a mitochondrial enzyme that catalyzes the conversion of oxaloacetate to phosphoenolpyruvate in the presence of guanosine triphosphate (GTP). A cytosolic form of this protein is encoded by a different gene and is the key enzyme of gluconeogenesis in the liver. Alternatively spliced transcript variants have been described. RRID Gene ID 5106 Swiss Prot Synonym PEPCK; PEPCK2; PEPCK-M; K2
This antibody is validated for use in WB, IHC-P, IF/ICC, IP, ELISA applications and has demonstrated reactivity against Human, Mouse, Rat samples.
Product Name:
PEPCK/PCK2 Polyclonal Antibody
SKU:
CAB21529
Size:
100μL, 20μL
Reactivity:
Human, Mouse, Rat
Clone Number:
-
Conjugate:
Unconjugated
Immunogen:
Recombinant protein (or fragment).This information is considered to be commercially sensitive.
Tested Applications:
WBIHC-PIF/ICCIPELISA
Recommended Dilution:
WB
1:500 - 1:1000
IHC-P
1:50 - 1:200
IF
/
ICC
1:50 - 1:200
IP
0.5μg-4μg antibody for 200μg-400μg extracts of whole cells
ELISA
Recommended starting concentration is 1 μg/mL. Please optimize the concentration based on your specific assay requirements.
Synonyms:
PEPCK, PEPCK2, PEPCK-M, K2
Positive Sample:
293T, SH-SY5Y, HepG2
Cellular Localization:
Mitochondrion.
Calculated MW:
71kDa
Observed MW:
71kDa
This gene encodes a mitochondrial enzyme that catalyzes the conversion of oxaloacetate to phosphoenolpyruvate in the presence of guanosine triphosphate (GTP). A cytosolic form of this protein is encoded by a different gene and is the key enzyme of gluconeogenesis in the liver. Alternatively spliced transcript variants have been described. RRID Gene ID 5106 Swiss Prot Synonym PEPCK; PEPCK2; PEPCK-M; K2
Purification Method:
Affinity purification
Gene ID:
5106
RRID:
-
Buffer Information:
Store at -20℃. Avoid freeze / thaw cycles. Buffer: PBS containing 50% glycerol, preserved with proclin300 or sodium azide, pH 7.3.
Western blot analysis of various lysates, using [KO Validated] PEPCK/PCK2 Rabbit pAb (CAB21529) at 1:1000 dilution. Secondary antibody: HRP-conjugated Goat anti-Rabbit IgG (H+L) (AS014) at 1:10000 dilution. Lysates/proteins: 25μg per lane. Blocking buffer: 3% nonfat dry milk in TBST. Detection: ECL Basic Kit (AbGn00020). Exposure time: 3s.
Western blot analysis of lysates from wild type(WT) and PEPCK/PCK2 Rabbit pAb knockout (KO) 293T cells, using [KO Validated] PEPCK/PCK2 Rabbit pAb (CAB21529) at 1:1000 dilution. Secondary antibody: HRP-conjugated Goat anti-Rabbit IgG (H+L) (AS014) at 1:10000 dilution. Lysates/proteins: 25μg per lane. Blocking buffer: 3% nonfat dry milk in TBST. Detection: ECL Basic Kit (AbGn00020). Exposure time: 3s.
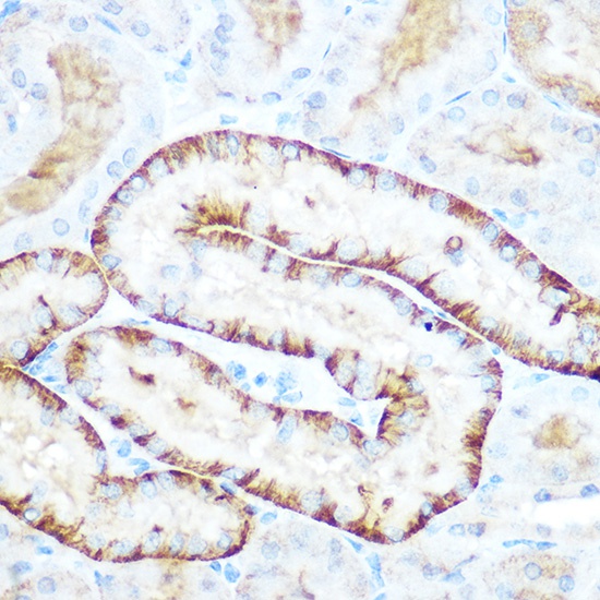
Immunohistochemistry analysis of paraffin-embedded Mouse kidney using [KO Validated] PEPCK/PCK2 Rabbit pAb (CAB21529) at dilution of 1:100 (40x lens). Microwave antigen retrieval performed with 0.01M Tris/EDTA Buffer (pH 9.0) prior to IHC staining.
Immunofluorescence analysis of NIH-3T3 cells using PEPCK/PEPCK/PCK2 Rabbit pAb (CAB21529) at dilution of 1:100 (40x lens). Secondary antibody: Cy3-conjugated Goat anti-Rabbit IgG (H+L) (AS007) at 1:500 dilution. Blue: DAPI for nuclear staining.
Immunoprecipitation analysis of extracts of HepG2 cells using PEPCK/PEPCK/PCK2 antibody (CAB21529). Western blot was performed from the immunoprecipitate using PEPCK/PEPCK/PCK2 antibody (CAB21529) at a dilution of 1:1000.