The Phospho-CREB1-S129 Antibody (CABP0903) is a high-quality antibody developed for reliable detection and analysis of target proteins. This antibody, developed using rabbit immunogens, exhibits high reactivity with human samples and is suitable for use in Western blot applications. By specifically binding to the phosphorylated form of CREB1 at serine 129, this antibody enables precise detection and analysis of CREB1 activation in various cell types.CREB1 plays a crucial role in mediating cellular responses to various stimuli, including stress, growth factors, and neurotransmitters.
This antibody is validated for use in WB, ELISA applications and has demonstrated reactivity against Human, Mouse, Rat samples.
Product Name:
Phospho-CREB1-S129 Antibody
SKU:
CABP0903
Size:
20μL, 100μL
Reactivity:
Human, Mouse, Rat
Conjugate:
Unconjugated
Immunogen:
Synthetic peptide. This information is considered to be commercially sensitive.
Sequence:
ILSR R
Tested Applications:
WBELISA
Recommended Dilution:
WB
1:100 - 1:500
ELISA
Recommended starting concentration is 1 μg/mL. Please optimize the concentration based on your specific assay requirements.
Synonyms:
CREB, CREB-1, Phospho-CREB1-S129
Positive Sample:
293T treated with UV, C6 treated with UV
Cellular Localization:
Nucleus.
Calculated MW:
35kDa
Observed MW:
43kDa
This gene encodes a transcription factor that is a member of the leucine zipper family of DNA binding proteins. This protein binds as a homodimer to the cAMP-responsive element, an octameric palindrome. The protein is phosphorylated by several protein kinases, and induces transcription of genes in response to hormonal stimulation of the cAMP pathway. Alternate splicing of this gene results in several transcript variants encoding different isoforms.
Purification Method
Affinity purification
Gene ID
1385
RRID
AB_2771005
Buffer Information
Store at -20℃. Avoid freeze / thaw cycles. Buffer: PBS with 0.01% thimerosal,50% glycerol,pH7.3.
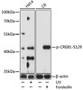
Western blot analysis of lysates from 293T cells, using Phospho-CREB1-S129 Rabbit pAb (CABP0903) at 1:500 dilution. 293T cells were treated with UV at room temperature for 15-30 minutes. Secondary antibody: HRP-conjugated Goat anti-Rabbit IgG (H+L) (CABS014) at 1:10000 dilution. Lysates/proteins: 25μg per lane. Blocking buffer: 3% nonfat dry milk in TBST. Detection: ECL Basic Kit (AbGn00020). Exposure time: 30s.
Western blot analysis of lysates from C6 cells, using Phospho-CREB1-S129 Rabbit pAb (CABP0903) at 1:500 dilution. C6 cells were treated with UV at room temperature for 15-30 minutes. Secondary antibody: HRP-conjugated Goat anti-Rabbit IgG (H+L) (CABS014) at 1:10000 dilution. Lysates/proteins: 25μg per lane. Blocking buffer: 3% nonfat dry milk in TBST. Detection: ECL Basic Kit (AbGn00020). Exposure time: 180s.