Phosphotyrosine Monoclonal Antibody (MACO0148) is a premium monoclonal that offers outstanding performance and reliability for demanding research applications. Rigorously validated for ELISA, WB, this antibody ensures consistent, reproducible results across multiple experimental platforms. Conveniently packaged in 50ug format to meet your experimental needs. For optimal performance, store at -20°C or -80°C and maintains stability for 12 months. Backed by rigorous quality control testing to ensure superior performance in your critical research applications.
Product Name:
Phosphotyrosine Monoclonal Antibody (MACO0148)
SKU:
MACO0148
Size:
50μg
Isotype:
IgG
Host Species:
Mouse
Reactivity:
All
Immunogen:
Purified Protein
Uniprot No:
N A
Form:
Liquid
Tested Applications:
ELISAWBIHC
Recommended Dilution:
WB 1:500-1:2000, IHC 1:100-1:300
Storage Buffer:
Liquid in PBS containing 50% glycerol, 0.5% BSA and 0.02% sodium azide.
Conjugate:
Non-conjugated
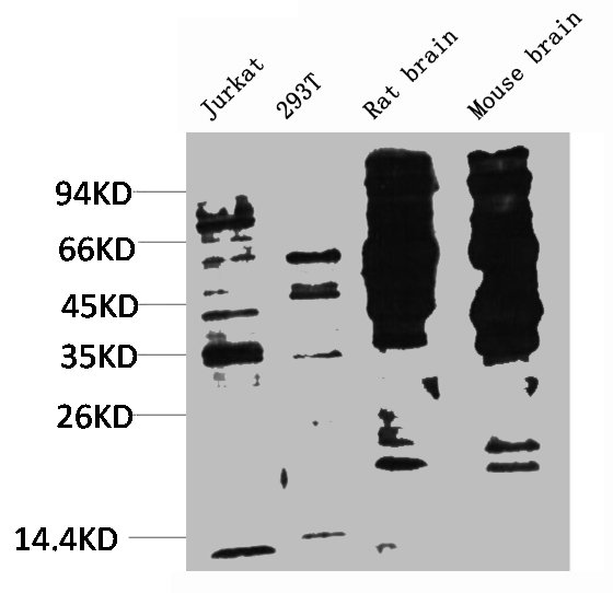
Western blot analysis of 1) Jurkat, 2) 293T, 3) Rat Brain Tissue, 4) Mouse Brain Tissue with Phosphotyrosine Mouse mAb diluted at 1:2,000.
Immunohistochemical analysis of paraffin-embedded Human Breast Caricnoma using Phosphotyrosine Mouse mAb diluted at 1:200.