The POMGNT2 Antibody (CAB14518) is a high-quality antibody developed for reliable detection and analysis of target proteins. This gene encodes a protein with glycosyltransferase activity although its function is not currently known. RRID AB_2761393 Gene ID 84892 Swiss Prot Synonym AGO61; GTDC2; MDDGA8; MDDGC8; C3orf39; POMGNT2
This antibody is validated for use in WB, ELISA applications and has demonstrated reactivity against Human, Mouse, Rat samples.
Product Name:
POMGNT2 Antibody
SKU:
CAB14518
Size:
100μL, 20μL
Reactivity:
Human, Mouse, Rat
Clone Number:
-
Conjugate:
Unconjugated
Immunogen:
Recombinant protein (or fragment).This information is considered to be commercially sensitive.
Tested Applications:
WBELISA
Recommended Dilution:
WB
1:500 - 1:2000
ELISA
Recommended starting concentration is 1 μg/mL. Please optimize the concentration based on your specific assay requirements.
Endoplasmic Reticulum Membrane, Single-Pass Type Ii Membrane Protein.
Calculated MW:
67kDa
Observed MW:
75kDa
This gene encodes a protein with glycosyltransferase activity although its function is not currently known. RRID AB_2761393 Gene ID 84892 Swiss Prot Synonym AGO61; GTDC2; MDDGA8; MDDGC8; C3orf39; POMGNT2
Purification Method:
Affinity purification
Gene ID:
84892
RRID:
AB_2761393
Buffer Information:
Store at -20℃. Avoid freeze / thaw cycles. Buffer: PBS with 0.01% thimerosal,50% glycerol,pH7.3.
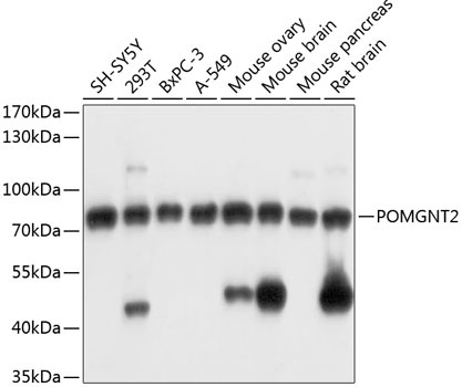
Western blot analysis of various lysates using POMGNT2 Rabbit pAb (CAB14518) at 1:3000 dilution. Secondary antibody: HRP-conjugated Goat anti-Rabbit IgG (H+L) (AS014) at 1:10000 dilution. Lysates/proteins: 25μg per lane. Blocking buffer: 3% nonfat dry milk in TBST. Detection: ECL Basic Kit (AbGn00020). Exposure time: 1s.