The PRDX1 Rabbit Monoclonal Antibody (CAB4956) is a powerful tool for researchers studying PRDX1, a key protein involved in antioxidant defense and redox regulation. This antibody, produced in rabbits, exhibits high specificity and sensitivity for PRDX1 in human samples, making it ideal for various applications such as Western blotting.PRDX1, also known as peroxiredoxin 1, plays a crucial role in protecting cells from oxidative stress and maintaining cellular homeostasis. Its dysregulation has been linked to various diseases, including cancer, cardiovascular disorders, and neurodegenerative conditions.
By targeting PRDX1 with this monoclonal antibody, researchers can gain valuable insights into its function and potential therapeutic implications in these disease settings.Overall, the PRDX1 Rabbit Monoclonal Antibody (CAB4956) is a reliable tool for investigating the role of PRDX1 in health and disease, offering researchers the opportunity to advance their understanding of redox biology and develop novel strategies for treatment.
Product Name:
Peroxiredoxin 1/PAG Rabbit Monoclonal Antibody
SKU:
CAB4956
Size:
20uL, 100uL
Isotype:
IgG
Host Species:
Rabbit
Reactivity:
Human,Mouse
Immunogen:
A synthetic peptide corresponding to a sequence within amino acids 1-100 of human Peroxiredoxin 1/PAG (Q06830).
This gene encodes a member of the peroxiredoxin family of antioxidant enzymes, which reduce hydrogen peroxide and alkyl hydroperoxides. The encoded protein may play an antioxidant protective role in cells, and may contribute to the antiviral activity of CD8(+) T-cells. This protein may have a proliferative effect and play a role in cancer development or progression. Four transcript variants encoding the same protein have been identified for this gene.
Purification Method:
Affinity purification
Gene ID:
5052
Clone Number:
ARC1274
Storage Buffer:
Store at -20℃. Avoid freeze / thaw cycles.Buffer: PBS with 0.02% sodium azide,0.05% BSA,50% glycerol,pH7.3.
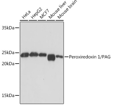
Western blot analysis of extracts of various cell lines, using Peroxiredoxin 1/PAG Rabbit mAb (CAB4956) at 1:1000 dilution.Secondary antibody: HRP Goat Anti-Rabbit IgG (H+L) (CABS014) at 1:10000 dilution.Lysates/proteins: 25μg per lane.Blocking buffer: 3% nonfat dry milk in TBST.Detection: ECL Basic Kit (AbGn00020).Exposure time: 1s.