Description
Anti-Protein HIRA Antibody (CAB8461)
The HIRA Polyclonal Antibody (CAB8461) is a valuable tool for researchers investigating the function of the HIRA gene, which is involved in chromatin remodeling and DNA repair processes. This antibody, produced in rabbits, has high specificity for human samples and has been validated for use in Western blot and immunohistochemistry applications.The HIRA protein is essential for maintaining genome integrity and regulating gene expression, making it a key player in cellular processes such as development, DNA replication, and transcriptional regulation. Dysregulation of HIRA has been linked to various diseases, including cancer and developmental disorders, highlighting its importance in biological pathways.
By utilizing the HIRA Polyclonal Antibody, researchers can accurately detect and analyze HIRA expression in a variety of cell types, allowing for in-depth studies into its role in key cellular processes. This antibody is an essential tool for scientists interested in understanding the molecular mechanisms underlying diseases associated with HIRA dysfunction, and may lead to the development of novel therapeutic strategies targeting this gene.
| Antibody Name: | Anti-Protein HIRA Antibody |
| Antibody SKU: | CAB8461 |
| Antibody Size: | 20uL, 50uL, 100uL |
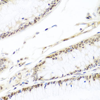
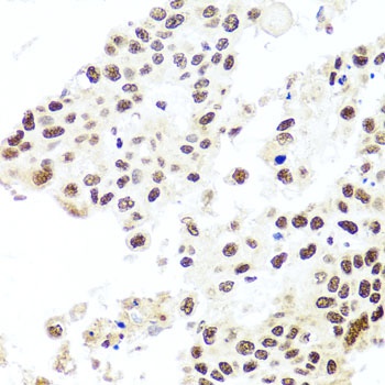
| Application: | WB IHC |
| Reactivity: | Human |
| Host Species: | Rabbit |
| Immunogen: | Recombinant fusion protein containing a sequence corresponding to amino acids 250-550 of human HIRA (NP_003316.3). |
| Application: | WB IHC |
| Recommended Dilution: | WB 1:500 - 1:2000 IHC 1:100 - 1:200 |
| Reactivity: | Human |
| Positive Samples: | 293T, HepG2, HeLa |
| Immunogen: | Recombinant fusion protein containing a sequence corresponding to amino acids 250-550 of human HIRA (NP_003316.3). |
| Purification Method: | Affinity purification |
| Storage Buffer: | Store at -20'C. Avoid freeze / thaw cycles. Buffer: PBS with 0.02% sodium azide, 50% glycerol, pH7.3. |
| Isotype: | IgG |
| Sequence: | AQII EREG WKTN MDFV GHRK AVTV VKFN PKIF KKKQ KNGS SAKP SCPY CCCA VGSK DRSL SVWL TCLK RPLV VIHE LFDK SIMD ISWT LNGL GILV CSMD GSVA FLDF SQDE LGDP LSEE EKSR IHQS TYGK SLAI MTEA QLST AVIE NPEM LKYQ RRQQ QQQL DQKS AATR EMGS ATSV AGVV NGES LEDI RKNL LKKQ VETR TADG RRRI TPLC IAQL DTGD FSTA FFNS IPLS GSLA GTML SSHS SPQL LPLD SSTP NSFG ASKP CTEP VVAA SARP AGDS VNKD SMNA TSTP AALS P |
| Gene ID: | 7290 |
| Uniprot: | P54198 |
| Cellular Location: | Nucleus, PML body |
| Calculated MW: | 89kDa/111kDa |
| Observed MW: | 112kDa |
| Synonyms: | HIRA, DGCR1, TUP1, TUPLE1 |
| Background: | This gene encodes a histone chaperone that preferentially places the variant histone H3.3 in nucleosomes. Orthologs of this gene in yeast, flies, and plants are necessary for the formation of transcriptionally silent heterochomatin. This gene plays an important role in the formation of the senescence-associated heterochromatin foci. These foci likely mediate the irreversible cell cycle changes that occur in senescent cells. It is considered the primary candidate gene in some haploinsufficiency syndromes such as DiGeorge syndrome, and insufficient production of the gene may disrupt normal embryonic development. |
| UniProt Protein Function: | HIRA: a histone chaperone. Necessary to mediate DNA-synthesis-independent nucleosome assembly. Interacts with UBN1, CABIN, and ASF1A in the cell nucleus to form the evolutionarily conserved HUCA histone chaperone complex that deposits the variant histone H3.3 into chromatin in a DNA-replication independent manner. Required for deposition of histone H3.3 at the transcription start sites of genes, where incorporation of histone H3.3 facilitates nucleosome destabilization and contributes to transcriptional activation. Histone H3.3 is also linked to gene silencing and is incorporated into regions of the genome thought to be transcriptionally inactive. While some incorporation of H3.3 into heterochromatin is facilitated by an additional histone chaperone complex containing ATRX and DAXX (ie. telomeric incorporation of H3.3), HIRA is required for incorporation of histone H3.3 and formation of senescence-associated heterochromatin foci (SAHF) during cellular senescence. HIRA is ubiquitously expressed during mouse embryonic development. In the adult mouse, HIRA is expressed at high levels in the kidney, skeletal muscle, and pancreas, but it is expressed at lower levels in the heart, lung, placenta, brain, and liver. A missing copy of the HIRA gene on human chromosome region 22q11.2 is a common characteristic of DiGeorge syndrome patients and insufficient production of the HIRA protein may disrupt normal embryonic development. Two isoforms of the human protein result from alternative splicing. |
| UniProt Protein Details: | Protein type:Transcription regulation; Cell development/differentiation; Cell cycle regulation Chromosomal Location of Human Ortholog: 22q11.21 Cellular Component: nuclear chromatin; nucleoplasm; nucleus; protein complex Molecular Function:protein binding; transcription corepressor activity; transcription factor activity Biological Process: anatomical structure morphogenesis; DNA replication-independent nucleosome assembly; regulation of transcription from RNA polymerase II promoter |
| NCBI Summary: | This gene encodes a histone chaperone that preferentially places the variant histone H3.3 in nucleosomes. Orthologs of this gene in yeast, flies, and plants are necessary for the formation of transcriptionally silent heterochomatin. This gene plays an important role in the formation of the senescence-associated heterochromatin foci. These foci likely mediate the irreversible cell cycle changes that occur in senescent cells. It is considered the primary candidate gene in some haploinsufficiency syndromes such as DiGeorge syndrome, and insufficient production of the gene may disrupt normal embryonic development. [provided by RefSeq, Jul 2008] |
| UniProt Code: | P54198 |
| NCBI GenInfo Identifier: | 88984228 |
| NCBI Gene ID: | 7290 |
| NCBI Accession: | P54198.2 |
| UniProt Secondary Accession: | P54198,Q05BU9, Q8IXN2, |
| UniProt Related Accession: | P54198 |
| Molecular Weight: | 89,299 Da |
| NCBI Full Name: | Protein HIRA |
| NCBI Synonym Full Names: | histone cell cycle regulator |
| NCBI Official Symbol: | HIRAÂ Â |
| NCBI Official Synonym Symbols: | TUP1; DGCR1; TUPLE1Â Â |
| NCBI Protein Information: | protein HIRA |
| UniProt Protein Name: | Protein HIRA |
| UniProt Synonym Protein Names: | TUP1-like enhancer of split protein 1 |
| Protein Family: | HIRA-interacting protein |
| UniProt Gene Name: | HIRAÂ Â |
| UniProt Entry Name: | HIRA_HUMAN |




