The PRP19 Antibody (CAB12590) is a high-quality antibody developed for reliable detection and analysis of target proteins. Enables identical protein binding activity and ubiquitin-ubiquitin ligase activity. Involved in several processes, including DNA damage checkpoint signaling; cellular protein metabolic process; and mRNA splicing, via spliceosome. Acts upstream of or within protein polyubiquitination. Located in cytoplasm; nuclear speck; and site of double-strand break. Part of Prp19 complex and U2-type catalytic step 2 spliceosome. Colocalizes with DNA replication factor A complex.
This antibody is validated for use in WB, IHC-P, IF/ICC, IP, ELISA applications and has demonstrated reactivity against Human, Mouse, Rat samples.
Product Name:
PRP19 Antibody
SKU:
CAB12590
Size:
100μL, 20μL
Reactivity:
Human, Mouse, Rat
Conjugate:
Unconjugated
Immunogen:
Recombinant protein (or fragment).This information is considered to be commercially sensitive.
Tested Applications:
WBIHC-PIF/ICCIPELISA
Recommended Dilution:
WB
1:500 - 1:2000
IHC-P
1:50 - 1:200
IF/ICC
1:50 - 1:200
IP
0.5μg-4μg antibody for 200μg-400μg extracts of whole cells
ELISA
Recommended starting concentration is 1 μg/mL. Please optimize the concentration based on your specific assay requirements.
Enables identical protein binding activity and ubiquitin-ubiquitin ligase activity. Involved in several processes, including DNA damage checkpoint signaling; cellular protein metabolic process; and mRNA splicing, via spliceosome. Acts upstream of or within protein polyubiquitination. Located in cytoplasm; nuclear speck; and site of double-strand break. Part of Prp19 complex and U2-type catalytic step 2 spliceosome. Colocalizes with DNA replication factor A complex.
Purification Method
Affinity purification
Gene ID
27339
RRID
AB_2759432
Buffer Information
Store at -20℃. Avoid freeze / thaw cycles. Buffer: PBS containing 50% glycerol, preserved with proclin300 or sodium azide, pH 7.3.
Western blot analysis of various lysates using PRP19 Rabbit pAb (CAB12590) at 1:1000 dilution. Secondary antibody: HRP-conjugated Goat anti-Rabbit IgG (H+L) (AS014) at 1:10000 dilution. Lysates/proteins: 25μg per lane. Blocking buffer: 3% nonfat dry milk in TBST. Detection: ECL Basic Kit (AbGn00020). Exposure time: 30s.
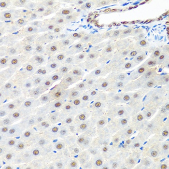
Immunohistochemistry analysis of paraffin-embedded Rat liver using PRP19 Rabbit pAb (CAB12590) at dilution of 1:100 (40x lens). Microwave antigen retrieval performed with 0.01M PBS Buffer (pH 7.2) prior to IHC staining.
Immunohistochemistry analysis of paraffin-embedded Human stomach using PRP19 Rabbit pAb (CAB12590) at dilution of 1:100 (40x lens). Microwave antigen retrieval performed with 0.01M PBS Buffer (pH 7.2) prior to IHC staining.
Immunohistochemistry analysis of paraffin-embedded Mouse brain using PRP19 Rabbit pAb (CAB12590) at dilution of 1:100 (40x lens). Microwave antigen retrieval performed with 0.01M PBS Buffer (pH 7.2) prior to IHC staining.
Immunofluorescence analysis of L929 cells using PRP19 Rabbit pAb (CAB12590) at dilution of 1:100 (40x lens). Secondary antibody: Cy3-conjugated Goat anti-Rabbit IgG (H+L) (AS007) at 1:500 dilution. Blue: DAPI for nuclear staining.
Immunofluorescence analysis of U2OS cells using PRP19 Rabbit pAb (CAB12590) at dilution of 1:100 (40x lens). Secondary antibody: Cy3-conjugated Goat anti-Rabbit IgG (H+L) (AS007) at 1:500 dilution. Blue: DAPI for nuclear staining.