The PSG9 Polyclonal Antibody (PAC062023) is a valuable tool for researchers studying the PSG9 protein, a member of the pregnancy-specific glycoprotein family. This antibody, generated in rabbits, specifically targets PSG9 in human samples and has been validated for use in various research applications, including Western blotting.PSG9 is known to play a role in pregnancy and immune regulation, and its dysregulation has been implicated in conditions such as preeclampsia and other pregnancy-related disorders. By using the PSG9 Polyclonal Antibody, researchers can detect and analyze PSG9 expression in different cell types, providing valuable insights into its function and potential implications in reproductive health and immunology research.
Understanding the function of PSG9 is essential for uncovering its role in pregnancy outcomes and immune modulation, making this antibody a valuable asset for studies aiming to elucidate the mechanisms underlying reproductive disorders and immune-related diseases. By utilizing the PSG9 Polyclonal Antibody, researchers can further expand our knowledge of PSG9's biological functions and its potential as a therapeutic target in relevant pathologies.
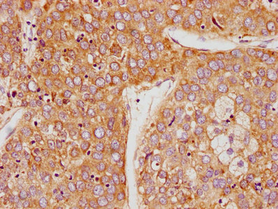
IHC image of PACO62023 diluted at 1:100 and staining in paraffin-embedded human liver cancer performed on a Leica BondTM system. After dewaxing and hydration, antigen retrieval was mediated by high pressure in a citrate buffer (pH 6.0). Section was blocked with 10% normal goat serum 30min at RT. Then primary antibody (1% BSA) was incubated at 4°C overnight. The primary is detected by a biotinylated secondary antibody and visualized using an HRP conjugated SP system.
Immunofluorescence staining of MCF-7 cells with PACO62023 at 1:50, counter-stained with DAPI. The cells were fixed in 4% formaldehyde, permeabilized using 0.2% Triton X-100 and blocked in 10% normal Goat Serum. The cells were then incubated with the antibody overnight at 4°C. The secondary antibody was Alexa Fluor 488-congugated AffiniPure Goat Anti-Rabbit IgG(H+L).
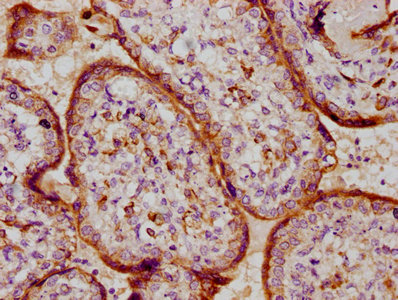
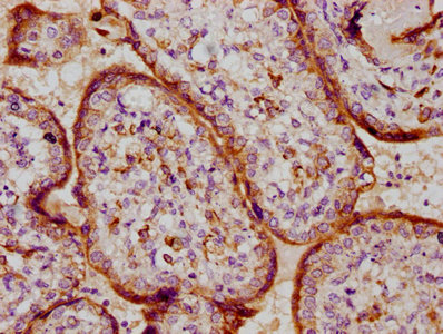
IHC image of PACO62023 diluted at 1:100 and staining in paraffin-embedded human placenta tissue performed on a Leica BondTM system. After dewaxing and hydration, antigen retrieval was mediated by high pressure in a citrate buffer (pH 6.0). Section was blocked with 10% normal goat serum 30min at RT. Then primary antibody (1% BSA) was incubated at 4°C overnight. The primary is detected by a biotinylated secondary antibody and visualized using an HRP conjugated SP system.
PSG9: Belongs to the immunoglobulin superfamily. CEA familyProtein type: Secreted, signal peptide; SecretedChromosomal Location of Human Ortholog: 19q13.2Biological Process: female pregnancy
UniProt Protein Details:
NCBI Summary:
The protein encoded by this gene is a member of the pregnancy-specific glycoprotein (PSG) family. This protein family and the closely related carcinoembryonic antigen cell adhesion molecule (CEACAM) gene family are both members of the immunoglobulin superfamily, and are organized as a large gene cluster. This protein is thought to inhibit platelet-fibrinogen interactions. Several studies suggest that reduced serum concentrations of PSGs are associated with fetal growth restrictions, while up-regulation of this gene has been observed in colorectal cancers. Several pseudogenes of this gene are found on chromosome 19. Alternative splicing results in multiple transcript variants that encode multiple protein isoforms. [provided by RefSeq, Sep 2014]