The RAD9A Antibody (CAB1890) is a high-quality antibody developed for reliable detection and analysis of target proteins. This gene product is highly similar to Schizosaccharomyces pombe rad9, a cell cycle checkpoint protein required for cell cycle arrest and DNA damage repair. This protein possesses 3' to 5' exonuclease activity, which may contribute to its role in sensing and repairing DNA damage. It forms a checkpoint protein complex with RAD1 and HUS1. This complex is recruited by checkpoint protein RAD17 to the sites of DNA damage, which is thought to be important for triggering the checkpoint-signaling cascade. Alternatively spliced transcript variants encoding different isoforms have been found for this gene. RRID AB_2763922 Gene ID 5883 Swiss Prot Synonym RAD9; RAD9A
This antibody is validated for use in WB, IHC-P, ELISA applications and has demonstrated reactivity against Human, Rat samples.
Product Name:
RAD9A Antibody
SKU:
CAB1890
Size:
100μL, 20μL
Reactivity:
Human, Rat
Clone Number:
-
Conjugate:
Unconjugated
Immunogen:
Recombinant protein (or fragment).This information is considered to be commercially sensitive.
Tested Applications:
WBIHC-PELISA
Recommended Dilution:
WB
1:500 - 1:2000
IHC-P
1:50 - 1:200
ELISA
Recommended starting concentration is 1 μg/mL. Please optimize the concentration based on your specific assay requirements.
Synonyms:
RAD9, RAD9A
Positive Sample:
BT-474, 22Rv1, HepG2, MCF7
Cellular Localization:
Nucleus.
Calculated MW:
43kDa
Observed MW:
60kDa
This gene product is highly similar to Schizosaccharomyces pombe rad9, a cell cycle checkpoint protein required for cell cycle arrest and DNA damage repair. This protein possesses 3' to 5' exonuclease activity, which may contribute to its role in sensing and repairing DNA damage. It forms a checkpoint protein complex with RAD1 and HUS1. This complex is recruited by checkpoint protein RAD17 to the sites of DNA damage, which is thought to be important for triggering the checkpoint-signaling cascade. Alternatively spliced transcript variants encoding different isoforms have been found for this gene. RRID AB_2763922 Gene ID 5883 Swiss Prot Synonym RAD9; RAD9A
Purification Method:
Affinity purification
Gene ID:
5883
RRID:
AB_2763922
Buffer Information:
Store at -20℃. Avoid freeze / thaw cycles. Buffer: PBS containing 50% glycerol, preserved with proclin300 or sodium azide, pH 7.3.
Western blot analysis of various lysates using RAD9A Rabbit pAb (CAB1890) at 1:1000 dilution. Secondary antibody: HRP-conjugated Goat anti-Rabbit IgG (H+L) (AS014) at 1:10000 dilution. Lysates/proteins: 25μg per lane. Blocking buffer: 3% nonfat dry milk in TBST. Detection: ECL Basic Kit (AbGn00020).
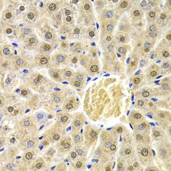
Immunohistochemistry analysis of paraffin-embedded Rat liver using RAD9A Rabbit pAb (CAB1890) at dilution of 1:200 (40x lens). Microwave antigen retrieval performed with 0.01M PBS Buffer (pH 7.2) prior to IHC staining.