The RCVRN Antibody (CAB6404) is a high-quality antibody developed for reliable detection and analysis of target proteins. This gene encodes a member of the recoverin family of neuronal calcium sensors. The encoded protein contains three calcium-binding EF-hand domains and may prolong the termination of the phototransduction cascade in the retina by blocking the phosphorylation of photo-activated rhodopsin. Recoverin may be the antigen responsible for cancer-associated retinopathy.
This antibody is validated for use in WB, IHC-P, ELISA, IF-P applications and has demonstrated reactivity against Human, Mouse, Rat samples.
Product Name:
RCVRN Antibody
SKU:
CAB6404
Size:
100μL, 20μL
Reactivity:
Human, Mouse, Rat
Conjugate:
Unconjugated
Immunogen:
Recombinant protein (or fragment).This information is considered to be commercially sensitive.
Tested Applications:
WBIHC-PELISAIF-P
Recommended Dilution:
WB
1:500 - 1:5000
IF-P
1:10 - 1:100
IHC-P
1:50 - 1:200
ELISA
Recommended starting concentration is 1 μg/mL. Please optimize the concentration based on your specific assay requirements.
Synonyms:
RCV1, RCVRN
Positive Sample:
Mouse eye, Rat eye
Cellular Localization:
Dendrite, Perikaryon.
Calculated MW:
23 kDa
Observed MW:
23 kDa
This gene encodes a member of the recoverin family of neuronal calcium sensors. The encoded protein contains three calcium-binding EF-hand domains and may prolong the termination of the phototransduction cascade in the retina by blocking the phosphorylation of photo-activated rhodopsin. Recoverin may be the antigen responsible for cancer-associated retinopathy.
Purification Method
Affinity purification
Gene ID
5957
RRID
AB_2767006
Buffer Information
Store at -20℃. Avoid freeze / thaw cycles. Buffer: PBS containing 50% glycerol, preserved with proclin300 or sodium azide, pH 7.3.
Western blot analysis of various lysates using RCVRN Rabbit pAb (CAB6404) at 1:1000 dilution. Secondary antibody: HRP-conjugated Goat anti-Rabbit IgG (H+L) (AS014) at 1:10000 dilution. Lysates/proteins: 25μg per lane. Blocking buffer: 3% nonfat dry milk in TBST. Detection: ECL Basic Kit (AbGn00020). Exposure time: 15s.
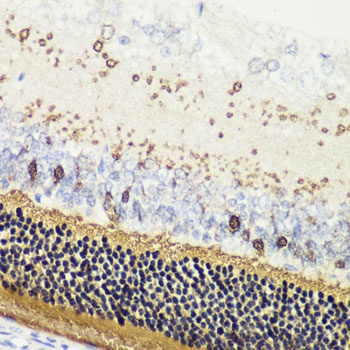
Immunohistochemistry analysis of paraffin-embedded Rat retina using RCVRN Rabbit pAb (CAB6404) at dilution of 1:200 (40x lens). Microwave antigen retrieval performed with 0.01M PBS Buffer (pH 7.2) prior to IHC staining.
Immunofluorescence analysis of paraffin-embedded mouse eye using RCVRN Rabbit pAb (CAB6404) at dilution of 1:50 (40x lens). Secondary antibody: Cy3-conjugated Goat anti-Rabbit IgG (H+L) (AS007) at 1:500 dilution. Blue: DAPI for nuclear staining.
Immunofluorescence analysis of paraffin-embedded rat eye using RCVRN Rabbit pAb (CAB6404) at dilution of 1:50 (40x lens). Secondary antibody: Cy3-conjugated Goat anti-Rabbit IgG (H+L) (AS007) at 1:500 dilution. Blue: DAPI for nuclear staining.