The RPL13 Antibody (CAB4083) is a high-quality antibody developed for reliable detection and analysis of target proteins. Ribosomes, the organelles that catalyze protein synthesis, consist of a small 40S subunit and a large 60S subunit. Together these subunits are composed of 4 RNA species and approximately 80 structurally distinct proteins. This gene encodes a ribosomal protein that is a component of the 60S subunit. The protein belongs to the L13E family of ribosomal proteins. It is located in the cytoplasm. This gene is expressed at significantly higher levels in benign breast lesions than in breast carcinomas. Alternatively spliced transcript variants encoding distinct isoforms have been found for this gene. As is typical for genes encoding ribosomal proteins, there are multiple processed pseudogenes of this gene dispersed through the genome. RRID AB_2765494 Gene ID 6137 Swiss Prot Synonym L13; BBC1; eL13; D16S44E; SEMDIST; D16S444E; RPL13
This antibody is validated for use in WB, IHC-P, IF/ICC, ELISA applications and has demonstrated reactivity against Human, Mouse, Rat samples.
Product Name:
RPL13 Antibody
SKU:
CAB4083
Size:
100μL, 20μL
Reactivity:
Human, Mouse, Rat
Clone Number:
-
Conjugate:
Unconjugated
Immunogen:
Recombinant protein (or fragment).This information is considered to be commercially sensitive.
Tested Applications:
WBIHC-PIF/ICCELISA
Recommended Dilution:
WB
1:200 - 1:2000
IHC-P
1:50 - 1:200
IF
/
ICC
1:50 - 1:200
ELISA
Recommended starting concentration is 1 μg/mL. Please optimize the concentration based on your specific assay requirements.
Ribosomes, the organelles that catalyze protein synthesis, consist of a small 40S subunit and a large 60S subunit. Together these subunits are composed of 4 RNA species and approximately 80 structurally distinct proteins. This gene encodes a ribosomal protein that is a component of the 60S subunit. The protein belongs to the L13E family of ribosomal proteins. It is located in the cytoplasm. This gene is expressed at significantly higher levels in benign breast lesions than in breast carcinomas. Alternatively spliced transcript variants encoding distinct isoforms have been found for this gene. As is typical for genes encoding ribosomal proteins, there are multiple processed pseudogenes of this gene dispersed through the genome. RRID AB_2765494 Gene ID 6137 Swiss Prot Synonym L13; BBC1; eL13; D16S44E; SEMDIST; D16S444E; RPL13
Purification Method:
Affinity purification
Gene ID:
6137
RRID:
AB_2765494
Buffer Information:
Store at -20℃. Avoid freeze / thaw cycles. Buffer: PBS containing 50% glycerol, preserved with proclin300 or sodium azide, pH 7.3.
Western blot analysis of various lysates using RPL13 Rabbit pAb (CAB4083) at 1:1000 dilution. Secondary antibody: HRP-conjugated Goat anti-Rabbit IgG (H+L) (AS014) at 1:10000 dilution. Lysates/proteins: 25μg per lane. Blocking buffer: 3% nonfat dry milk in TBST. Detection: ECL Basic Kit (AbGn00020). Exposure time: 15s.
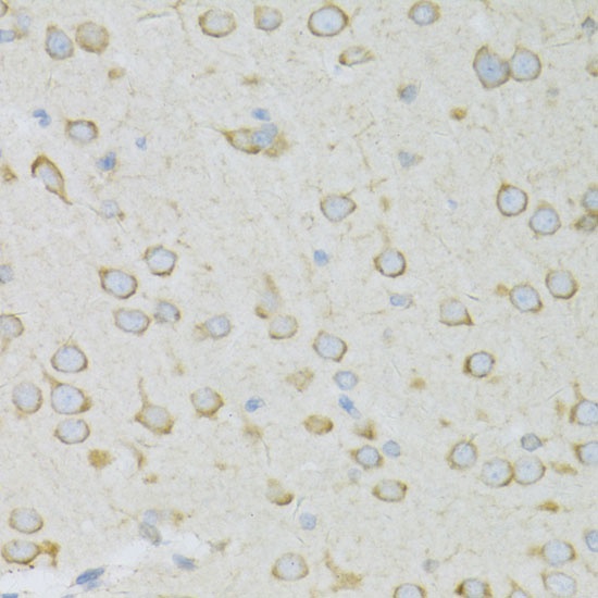
Immunohistochemistry analysis of paraffin-embedded Rat brain using RPL13 Rabbit pAb (CAB4083) at dilution of 1:100 (40x lens). Microwave antigen retrieval performed with 0.01M PBS Buffer (pH 7.2) prior to IHC staining.
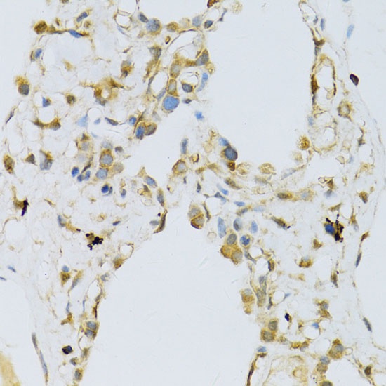
Immunohistochemistry analysis of paraffin-embedded Human lung using RPL13 Rabbit pAb (CAB4083) at dilution of 1:100 (40x lens). Microwave antigen retrieval performed with 0.01M PBS Buffer (pH 7.2) prior to IHC staining.
Immunofluorescence analysis of MCF7 cells using RPL13 Rabbit pAb (CAB4083). Secondary antibody: Cy3-conjugated Goat anti-Rabbit IgG (H+L) (AS007) at 1:500 dilution. Blue: DAPI for nuclear staining.