The SMYD1 Antibody (CAB2340) is a high-quality antibody developed for reliable detection and analysis of target proteins. Predicted to enable histone-lysine N-methyltransferase activity. Involved in positive regulation of myoblast differentiation and positive regulation of myotube differentiation. Predicted to be located in cytoplasm. Predicted to be active in nucleus.
This antibody is validated for use in WB, IHC-P, IF/ICC, ELISA applications and has demonstrated reactivity against Human, Mouse, Rat samples.
Product Name:
SMYD1 Antibody
SKU:
CAB2340
Size:
100μL, 20μL
Reactivity:
Human, Mouse, Rat
Conjugate:
Unconjugated
Immunogen:
Recombinant protein (or fragment).This information is considered to be commercially sensitive.
Tested Applications:
WBIHC-PIF/ICCELISA
Recommended Dilution:
WB
1:200 - 1:2000
IHC-P
1:20 - 1:200
IF/ICC
1:20 - 1:100
ELISA
Recommended starting concentration is 1 μg/mL. Please optimize the concentration based on your specific assay requirements.
Synonyms:
BOP, KMT3D, ZMYND18, ZMYND22, SMYD1
Positive Sample:
Raji, MCF7, Mouse stomach, Rat heart, Rat stomach
Cellular Localization:
Cytoplasm, Nucleus.
Calculated MW:
57kDa
Observed MW:
57kDa
Predicted to enable histone-lysine N-methyltransferase activity. Involved in positive regulation of myoblast differentiation and positive regulation of myotube differentiation. Predicted to be located in cytoplasm. Predicted to be active in nucleus.
Purification Method
Affinity purification
Gene ID
150572
RRID
AB_2764301
Buffer Information
Store at -20℃. Avoid freeze / thaw cycles. Buffer: PBS containing 50% glycerol, preserved with proclin300 or sodium azide, pH 7.3.
Western blot analysis of various lysates using SMYD1 Rabbit pAb (CAB2340) at 1:1000 dilution. Secondary antibody: HRP-conjugated Goat anti-Rabbit IgG (H+L) (AS014) at 1:10000 dilution. Lysates/proteins: 25μg per lane. Blocking buffer: 3% nonfat dry milk in TBST. Detection: ECL Basic Kit (AbGn00020). Exposure time: 60s.
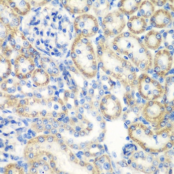
Immunohistochemistry analysis of paraffin-embedded Rat kidney using SMYD1 Rabbit pAb (CAB2340) at dilution of 1:200 (40x lens). Microwave antigen retrieval performed with 0.01M PBS Buffer (pH 7.2) prior to IHC staining.
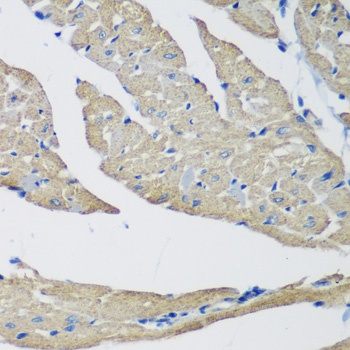
Immunohistochemistry analysis of paraffin-embedded Mouse heart using SMYD1 Rabbit pAb (CAB2340) at dilution of 1:200 (40x lens). Microwave antigen retrieval performed with 0.01M PBS Buffer (pH 7.2) prior to IHC staining.
Immunofluorescence analysis of MCF-7 cells using SMYD1 Rabbit pAb (CAB2340). Secondary antibody: Cy3-conjugated Goat anti-Rabbit IgG (H+L) (AS007) at 1:500 dilution. Blue: DAPI for nuclear staining.