The RBM17 Antibody (CAB3240) is a high-quality antibody developed for reliable detection and analysis of target proteins. This gene encodes an RNA binding protein. The encoded protein is part of the spliceosome complex and functions in the second catalytic step of mRNA splicing. Alternatively spliced transcript variants have been described. Related pseudogenes exist on chromosomes 9 and 15.
This antibody is validated for use in WB, IHC-P, ELISA applications and has demonstrated reactivity against Human, Mouse, Rat samples.
Product Name:
RBM17 Antibody
SKU:
CAB3240
Size:
100μL, 20μL
Reactivity:
Human, Mouse, Rat
Conjugate:
Unconjugated
Immunogen:
Recombinant protein (or fragment).This information is considered to be commercially sensitive.
Tested Applications:
WBIHC-PELISA
Recommended Dilution:
WB
1:200 - 1:2000
IHC-P
1:50 - 1:200
ELISA
Recommended starting concentration is 1 μg/mL. Please optimize the concentration based on your specific assay requirements.
Synonyms:
SPF45, RBM17
Positive Sample:
LO2, A-549, HeLa, DU145, Rat thymus
Cellular Localization:
Nucleus.
Calculated MW:
45kDa
Observed MW:
50kDa
This gene encodes an RNA binding protein. The encoded protein is part of the spliceosome complex and functions in the second catalytic step of mRNA splicing. Alternatively spliced transcript variants have been described. Related pseudogenes exist on chromosomes 9 and 15.
Purification Method
Affinity purification
Gene ID
84991
RRID
AB_2765005
Buffer Information
Store at -20℃. Avoid freeze / thaw cycles. Buffer: PBS containing 50% glycerol, preserved with proclin300 or sodium azide, pH 7.3.
Western blot analysis of various lysates using RBM17 Rabbit pAb (CAB3240) at 1:1000 dilution. Secondary antibody: HRP-conjugated Goat anti-Rabbit IgG (H+L) (AS014) at 1:10000 dilution. Lysates/proteins: 25μg per lane. Blocking buffer: 3% nonfat dry milk in TBST. Detection: ECL Basic Kit (AbGn00020). Exposure time: 30s.
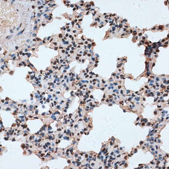
Immunohistochemistry analysis of paraffin-embedded Rat lung using RBM17 Rabbit pAb (CAB3240) at dilution of 1:100 (40x lens). Microwave antigen retrieval performed with 0.01M PBS Buffer (pH 7.2) prior to IHC staining.
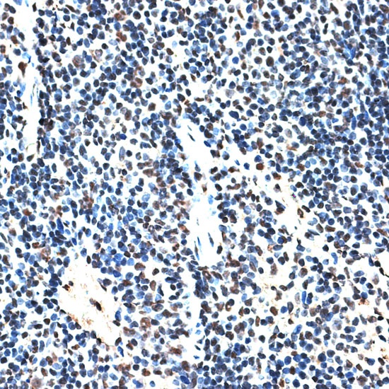
Immunohistochemistry analysis of paraffin-embedded Mouse spleen using RBM17 Rabbit pAb (CAB3240) at dilution of 1:100 (40x lens). Microwave antigen retrieval performed with 0.01M PBS Buffer (pH 7.2) prior to IHC staining.