The SSTR2 Antibody (CAB3135) is a high-quality antibody developed for reliable detection and analysis of target proteins. Somatostatin acts at many sites to inhibit the release of many hormones and other secretory proteins. The biologic effects of somatostatin are probably mediated by a family of G protein-coupled receptors that are expressed in a tissue-specific manner. SSTR2 is a member of the superfamily of receptors having seven transmembrane segments and is expressed in highest levels in cerebrum and kidney.
This antibody is validated for use in WB, IHC-P, ELISA applications and has demonstrated reactivity against Human, Mouse, Rat samples.
Product Name:
SSTR2 Antibody
SKU:
CAB3135
Size:
100μL, 20μL
Reactivity:
Human, Mouse, Rat
Conjugate:
Unconjugated
Immunogen:
Recombinant protein (or fragment).This information is considered to be commercially sensitive.
Tested Applications:
WBIHC-PELISA
Recommended Dilution:
WB
1:500 - 1:1000
IHC-P
1:50 - 1:100
ELISA
Recommended starting concentration is 1 μg/mL. Please optimize the concentration based on your specific assay requirements.
Somatostatin acts at many sites to inhibit the release of many hormones and other secretory proteins. The biologic effects of somatostatin are probably mediated by a family of G protein-coupled receptors that are expressed in a tissue-specific manner. SSTR2 is a member of the superfamily of receptors having seven transmembrane segments and is expressed in highest levels in cerebrum and kidney.
Purification Method
Affinity purification
Gene ID
6752
RRID
AB_2764932
Buffer Information
Store at -20℃. Avoid freeze / thaw cycles. Buffer: PBS containing 50% glycerol, preserved with proclin300 or sodium azide, pH 7.3.
Western blot analysis of various lysates using Somatostatin Receptor 2 (SSTR2) Rabbit pAb (CAB3135) at 1:1000 dilution. Secondary antibody: HRP-conjugated Goat anti-Rabbit IgG (H+L) (AS014) at 1:10000 dilution. Lysates/proteins: 25μg per lane. Blocking buffer: 3% nonfat dry milk in TBST. Detection: ECL Basic Kit (AbGn00020). Exposure time: 10s.
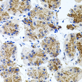
Immunohistochemistry analysis of paraffin-embedded Human stomach using Somatostatin Receptor 2 (SSTR2) Rabbit pAb (CAB3135) at dilution of 1:100 (40x lens). Microwave antigen retrieval performed with 0.01M PBS Buffer (pH 7.2) prior to IHC staining.