The STRN Antibody (CAB7734) is a high-quality antibody developed for reliable detection and analysis of target proteins. Enables armadillo repeat domain binding activity; estrogen receptor binding activity; and protein phosphatase 2A binding activity. Involved in Wnt signaling pathway and negative regulation of cell population proliferation. Located in bicellular tight junction. Part of FAR/SIN/STRIPAK complex. RRID AB_2772444 Gene ID 6801 Swiss Prot Synonym SG2NA; STRN1; PPP2R6A; STRN
This antibody is validated for use in WB, IHC-P, ELISA applications and has demonstrated reactivity against Human, Mouse, Rat samples.
Product Name:
STRN Antibody
SKU:
CAB7734
Size:
100μL, 20μL
Reactivity:
Human, Mouse, Rat
Clone Number:
-
Conjugate:
Unconjugated
Immunogen:
Recombinant protein (or fragment).This information is considered to be commercially sensitive.
Tested Applications:
WBIHC-PELISA
Recommended Dilution:
WB
1:500 - 1:2000
IHC-P
1:50 - 1:200
ELISA
Recommended starting concentration is 1 μg/mL. Please optimize the concentration based on your specific assay requirements.
Enables armadillo repeat domain binding activity; estrogen receptor binding activity; and protein phosphatase 2A binding activity. Involved in Wnt signaling pathway and negative regulation of cell population proliferation. Located in bicellular tight junction. Part of FAR/SIN/STRIPAK complex. RRID AB_2772444 Gene ID 6801 Swiss Prot Synonym SG2NA; STRN1; PPP2R6A; STRN
Purification Method:
Affinity purification
Gene ID:
6801
RRID:
AB_2772444
Buffer Information:
Store at -20℃. Avoid freeze / thaw cycles. Buffer: PBS containing 50% glycerol, preserved with proclin300 or sodium azide, pH 7.3.
Western blot analysis of various lysates using STRN Rabbit pAb (CAB7734) at 1:1000 dilution. Secondary antibody: HRP-conjugated Goat anti-Rabbit IgG (H+L) (AS014) at 1:10000 dilution. Lysates/proteins: 25μg per lane. Blocking buffer: 3% nonfat dry milk in TBST. Detection: ECL Enhanced Kit (AbGn00021). Exposure time: 30s.
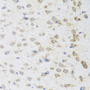
Immunohistochemistry analysis of paraffin-embedded Mouse brain using STRN Rabbit pAb (CAB7734) at dilution of 1:100 (40x lens). Microwave antigen retrieval performed with 0.01M PBS Buffer (pH 7.2) prior to IHC staining.
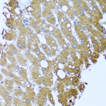
Immunohistochemistry analysis of paraffin-embedded Human liver damage using STRN Rabbit pAb (CAB7734) at dilution of 1:100 (40x lens). Microwave antigen retrieval performed with 0.01M PBS Buffer (pH 7.2) prior to IHC staining.