The SURF1 Polyclonal Antibody (CAB6758) is a vital tool for researchers studying the SURF1 protein, which plays a crucial role in the assembly of cytochrome c oxidase, the final enzyme in the mitochondrial respiratory chain. This antibody, produced in rabbits, demonstrates high specificity and sensitivity in detecting SURF1 in human samples, making it perfect for Western blot applications.SURF1 is essential for maintaining mitochondrial function and energy production, making it a key player in various diseases, including Leigh syndrome and other mitochondrial disorders. By targeting SURF1 with this antibody, researchers can gain valuable insights into the mechanisms underlying these conditions, leading to potential therapeutic advancements in the field of mitochondrial medicine.
With its ability to accurately detect and analyze SURF1 in multiple cell types, the SURF1 Polyclonal Antibody is an invaluable tool for researchers in the fields of biochemistry, cell biology, and mitochondrial research. By unraveling the role of SURF1 in mitochondrial function, this antibody opens the door to new possibilities for understanding and treating a wide range of mitochondrial diseases.
Product Name:
SURF1 Rabbit Polyclonal Antibody
SKU:
CAB6758
Size:
20uL, 100uL
Isotype:
IgG
Host Species:
Rabbit
Reactivity:
Human,Mouse,Rat
Immunogen:
Recombinant fusion protein containing a sequence corresponding to amino acids 80-275 of human SURF1 (NP_003163.1).
This gene encodes a protein localized to the inner mitochondrial membrane and thought to be involved in the biogenesis of the cytochrome c oxidase complex. The protein is a member of the SURF1 family, which includes the related yeast protein SHY1 and rickettsial protein RP733. The gene is located in the surfeit gene cluster, a group of very tightly linked genes that do not share sequence similarity, where it shares a bidirectional promoter with SURF2 on the opposite strand. Defects in this gene are a cause of Leigh syndrome, a severe neurological disorder that is commonly associated with systemic cytochrome c oxidase deficiency.
Purification Method:
Affinity purification
Gene ID:
6834
Storage Buffer:
Store at -20℃. Avoid freeze / thaw cycles.Buffer: PBS with 0.02% sodium azide,50% glycerol,pH7.3.
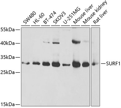
Western blot analysis of extracts of various cell lines, using SURF1 antibody (CAB6758) at 1:1000 dilution.Secondary antibody: HRP Goat Anti-Rabbit IgG (H+L) (CABS014) at 1:10000 dilution.Lysates/proteins: 25μg per lane.Blocking buffer: 3% nonfat dry milk in TBST.Detection: ECL Basic Kit (AbGn00020).Exposure time: 3s.