SUSD5 Antibody is a premium polyclonal that offers outstanding performance and reliability for demanding research applications. Rigorously validated for ELISA, WB, IHC, IF, this antibody ensures consistent, reproducible results across multiple experimental platforms. Demonstrates excellent reactivity with Human samples, providing researchers with confidence in cross-species compatibility. Conveniently packaged in 50ul format to meet your experimental needs. For optimal performance, store at -20°C or -80°C and maintains stability for 12 months. Backed by rigorous quality control testing to ensure superior performance in your critical research applications.
Product Name:
SUSD5 Antibody (PACO62383)
SKU:
PACO62383
Size:
50μl
Isotype:
IgG
Host Species:
Rabbit
Reactivity:
Human
Immunogen:
Recombinant Human Sushi domain-containing protein 5 protein (46-287AA)
Immunogen Species:
Homo sapiens (Human)
Uniprot No:
O60279
Form:
Liquid
Tested Applications:
ELISAWBIHCIF
Recommended Dilution:
WB 1:1000-1:5000, IHC 1:200-1:500, IF 1:50-1:200
Synonyms:
SUSD5, KIAA0527, Sushi domain-containing protein 5
Western Blot Positive WB detected in: U87 whole cell lysate, Hela whole cell lysate All lanes: SUSD5 antibody at 1:2000 Secondary Goat polyclonal to rabbit IgG at 1/50000 dilution Predicted band size: 69 kDa Observed band size: 69 kDa
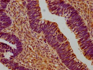
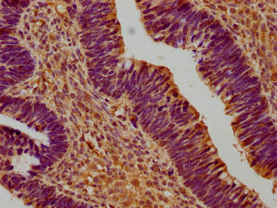
IHC image of PACO62383 diluted at 1:300 and staining in paraffin-embedded human ovarian cancer performed on a Leica BondTM system. After dewaxing and hydration, antigen retrieval was mediated by high pressure in a citrate buffer (pH 6.0). Section was blocked with 10% normal goat serum 30min at RT. Then primary antibody (1% BSA) was incubated at 4°C overnight. The primary is detected by a biotinylated secondary antibody and visualized using an HRP conjugated SP system.
Immunofluorescence staining of 293 cells with PACO62383 at 1:100, counter-stained with DAPI. The cells were fixed in 4% formaldehyde, permeabilized using 0.2% Triton X-100 and blocked in 10% normal Goat Serum. The cells were then incubated with the antibody overnight at 4°C. The secondary antibody was Alexa Fluor 488-congugated AffiniPure Goat Anti-Rabbit IgG(H+L).