The SWAP70 Antibody (CAB14857) is a high-quality antibody developed for reliable detection and analysis of target proteins. Enables cadherin binding activity. Predicted to be involved in regulation of actin polymerization or depolymerization. Predicted to act upstream of or within isotype switching. Located in actin cytoskeleton; cytoplasm; and plasma membrane.
This antibody is validated for use in WB, IHC-P, IF/ICC, ELISA applications and has demonstrated reactivity against Human, Mouse, Rat samples.
Product Name:
SWAP70 Antibody
SKU:
CAB14857
Size:
100μL, 20μL
Reactivity:
Human, Mouse, Rat
Conjugate:
Unconjugated
Immunogen:
Recombinant protein (or fragment).This information is considered to be commercially sensitive.
Tested Applications:
WBIHC-PIF/ICCELISA
Recommended Dilution:
WB
1:500 - 1:2000
IHC-P
1:50 - 1:200
IF/ICC
1:50 - 1:200
ELISA
Recommended starting concentration is 1 μg/mL. Please optimize the concentration based on your specific assay requirements.
Enables cadherin binding activity. Predicted to be involved in regulation of actin polymerization or depolymerization. Predicted to act upstream of or within isotype switching. Located in actin cytoskeleton; cytoplasm; and plasma membrane.
Purification Method
Affinity purification
Gene ID
23075
RRID
AB_2761737
Buffer Information
Store at -20℃. Avoid freeze / thaw cycles. Buffer: PBS with 0.01% thimerosal,50% glycerol,pH7.3.
Western blot analysis of various lysates using SWAP70 Rabbit pAb (CAB14857) at 1:1000 dilution. Secondary antibody: HRP-conjugated Goat anti-Rabbit IgG (H+L) (AS014) at 1:10000 dilution. Lysates/proteins: 25μg per lane. Blocking buffer: 3% nonfat dry milk in TBST. Detection: ECL Basic Kit (AbGn00020). Exposure time: 5s.
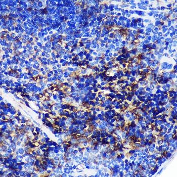
Immunohistochemistry analysis of paraffin-embedded Mouse spleen using SWAP70 Rabbit pAb (CAB14857) at dilution of 1:100 (40x lens). Microwave antigen retrieval performed with 0.01M PBS Buffer (pH 7.2) prior to IHC staining.
Immunohistochemistry analysis of paraffin-embedded Human lung using SWAP70 Rabbit pAb (CAB14857) at dilution of 1:100 (40x lens). Microwave antigen retrieval performed with 0.01M PBS Buffer (pH 7.2) prior to IHC staining.