The SYT11 Antibody (CAB8198) is a high-quality antibody developed for reliable detection and analysis of target proteins. This gene is a member of the synaptotagmin gene family and encodes a protein similar to other family members that are known calcium sensors and mediate calcium-dependent regulation of membrane trafficking in synaptic transmission. The encoded protein is also a substrate for ubiquitin-E3-ligase parkin. The gene has previously been referred to as synaptotagmin XII but has been renamed synaptotagmin XI to be consistent with mouse and rat official nomenclature.
This antibody is validated for use in WB, IF/ICC, ELISA, IF-P applications and has demonstrated reactivity against Human, Mouse, Rat samples.
Product Name:
SYT11 Antibody
SKU:
CAB8198
Size:
100μL, 20μL
Reactivity:
Human, Mouse, Rat
Conjugate:
Unconjugated
Immunogen:
Recombinant protein (or fragment).This information is considered to be commercially sensitive.
Tested Applications:
WBIF/ICCELISAIF-P
Recommended Dilution:
WB
1:500 - 1:1000
IF/ICC
1:50 - 1:200
IF-P
1:50 - 1:200
ELISA
Recommended starting concentration is 1 μg/mL. Please optimize the concentration based on your specific assay requirements.
This gene is a member of the synaptotagmin gene family and encodes a protein similar to other family members that are known calcium sensors and mediate calcium-dependent regulation of membrane trafficking in synaptic transmission. The encoded protein is also a substrate for ubiquitin-E3-ligase parkin. The gene has previously been referred to as synaptotagmin XII but has been renamed synaptotagmin XI to be consistent with mouse and rat official nomenclature.
Purification Method
Affinity purification
Gene ID
23208
RRID
AB_2772492
Buffer Information
Store at -20℃. Avoid freeze / thaw cycles. Buffer: PBS containing 50% glycerol, preserved with proclin300 or sodium azide, pH 7.3.
Western blot analysis of various lysates using SYT11 Rabbit pAb (CAB8198) at 1:600 dilution. Secondary antibody: HRP-conjugated Goat anti-Rabbit IgG (H+L) (AS014) at 1:10000 dilution. Lysates/proteins: 25μg per lane. Blocking buffer: 3% nonfat dry milk in TBST. Detection: ECL Basic Kit (AbGn00020). Exposure time: 20s.
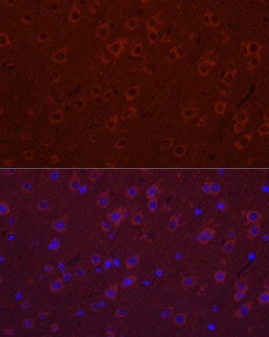
Immunofluorescence analysis of paraffin-embedded mouse brain using SYT11 Rabbit pAb (CAB8198) at dilution of 1:100 (40x lens). Secondary antibody: Cy3-conjugated Goat anti-Rabbit IgG (H+L) (AS007) at 1:500 dilution. Blue: DAPI for nuclear staining.
Immunofluorescence analysis of SH-5Y5Y cells using SYT11 Rabbit pAb (CAB8198) at dilution of 1:100 (40x lens). Secondary antibody: Cy3-conjugated Goat anti-Rabbit IgG (H+L) (AS007) at 1:500 dilution. Blue: DAPI for nuclear staining.