The hnRNP Q/SYNCRIP Antibody (CAB7219) is a high-quality antibody developed for reliable detection and analysis of target proteins. This gene encodes a member of the cellular heterogeneous nuclear ribonucleoprotein (hnRNP) family. hnRNPs are RNA binding proteins that complex with heterogeneous nuclear RNA (hnRNA) and regulate alternative splicing, polyadenylation, and other aspects of mRNA metabolism and transport. The encoded protein plays a role in multiple aspects of mRNA maturation and is associated with several multiprotein complexes including the apoB RNA editing-complex and survival of motor neurons (SMN) complex. Alternatively spliced transcript variants encoding multiple isoforms have been observed for this gene, and a pseudogene of this gene is located on the short arm of chromosome 20.
This antibody is validated for use in WB, IHC-P, ELISA applications and has demonstrated reactivity against Human, Mouse, Rat samples.
Product Name:
hnRNP Q/SYNCRIP Antibody
SKU:
CAB7219
Size:
100μL, 20μL
Reactivity:
Human, Mouse, Rat
Conjugate:
Unconjugated
Immunogen:
Recombinant protein (or fragment).This information is considered to be commercially sensitive.
Tested Applications:
WBIHC-PELISA
Recommended Dilution:
WB
1:500 - 1:2000
IHC-P
1:50 - 1:200
ELISA
Recommended starting concentration is 1 μg/mL. Please optimize the concentration based on your specific assay requirements.
This gene encodes a member of the cellular heterogeneous nuclear ribonucleoprotein (hnRNP) family. hnRNPs are RNA binding proteins that complex with heterogeneous nuclear RNA (hnRNA) and regulate alternative splicing, polyadenylation, and other aspects of mRNA metabolism and transport. The encoded protein plays a role in multiple aspects of mRNA maturation and is associated with several multiprotein complexes including the apoB RNA editing-complex and survival of motor neurons (SMN) complex. Alternatively spliced transcript variants encoding multiple isoforms have been observed for this gene, and a pseudogene of this gene is located on the short arm of chromosome 20.
Purification Method
Affinity purification
Gene ID
10492
RRID
AB_2767768
Buffer Information
Store at -20℃. Avoid freeze / thaw cycles. Buffer: PBS containing 50% glycerol, preserved with proclin300 or sodium azide, pH 7.3.
Western blot analysis of various lysates using hnRNP Q/SYNCRIP Rabbit pAb (CAB7219) at 1:1000 dilution. Secondary antibody: HRP-conjugated Goat anti-Rabbit IgG (H+L) (AS014) at 1:10000 dilution. Lysates/proteins: 25μg per lane. Blocking buffer: 3% nonfat dry milk in TBST. Detection: ECL Basic Kit (AbGn00020). Exposure time: 30s.
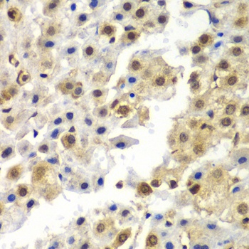
Immunohistochemistry analysis of paraffin-embedded Human liver cancer using hnRNP Q/SYNCRIP Rabbit pAb (CAB7219) at dilution of 1:100 (40x lens). Microwave antigen retrieval performed with 0.01M PBS Buffer (pH 7.2) prior to IHC staining.
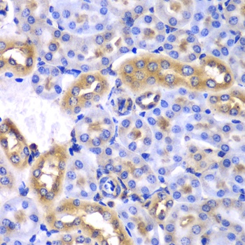
Immunohistochemistry analysis of paraffin-embedded Mouse kidney using hnRNP Q/SYNCRIP Rabbit pAb (CAB7219) at dilution of 1:100 (40x lens). Microwave antigen retrieval performed with 0.01M PBS Buffer (pH 7.2) prior to IHC staining.