The TAZ Antibody (CAB8202) is a high-quality antibody developed for reliable detection and analysis of target proteins. Enables transcription coactivator activity. Involved in several processes, including hippo signaling; positive regulation of cell differentiation; and regulation of signal transduction. Located in cytosol and nuclear body. RRID AB_2721146 Gene ID 25937 Swiss Prot Synonym TAZ
This antibody is validated for use in WB, IHC-P, IF/ICC, ELISA applications and has demonstrated reactivity against Human, Mouse, Rat samples.
Product Name:
TAZ Antibody
SKU:
CAB8202
Size:
100μL, 20μL
Reactivity:
Human, Mouse, Rat
Clone Number:
-
Conjugate:
Unconjugated
Immunogen:
Recombinant protein (or fragment).This information is considered to be commercially sensitive.
Tested Applications:
WBIHC-PIF/ICCELISA
Recommended Dilution:
WB
1:500 - 1:1000
IHC-P
1:50 - 1:200
IF
/
ICC
1:50 - 1:200
ELISA
Recommended starting concentration is 1 μg/mL. Please optimize the concentration based on your specific assay requirements.
Synonyms:
TAZ
Positive Sample:
Mouse lung, Rat lung
Cellular Localization:
Cytoplasm, Nucleus.
Calculated MW:
44kDa
Observed MW:
55kDa
Enables transcription coactivator activity. Involved in several processes, including hippo signaling; positive regulation of cell differentiation; and regulation of signal transduction. Located in cytosol and nuclear body. RRID AB_2721146 Gene ID 25937 Swiss Prot Synonym TAZ
Purification Method:
Affinity purification
Gene ID:
25937
RRID:
AB_2721146
Buffer Information:
Store at -20℃. Avoid freeze / thaw cycles. Buffer: PBS containing 50% glycerol, preserved with proclin300 or sodium azide,pH7.3.
Western blot analysis of lysates from Mouse lung, using TAZ Rabbit pAb (CAB8202) at 1:500 dilution. Secondary antibody: HRP-conjugated Goat anti-Rabbit IgG (H+L) (AS014) at 1:10000 dilution. Lysates/proteins: 25μg per lane. Blocking buffer: 3% nonfat dry milk in TBST. Detection: ECL Basic Kit (AbGn00020). Exposure time: 30s.
Western blot analysis of lysates from Rat lung, using TAZ Rabbit pAb (CAB8202) at 1:1000 dilution. Secondary antibody: HRP-conjugated Goat anti-Rabbit IgG (H+L) (AS014) at 1:10000 dilution. Lysates/proteins: 25μg per lane. Blocking buffer: 3% nonfat dry milk in TBST. Detection: ECL Basic Kit (AbGn00020). Exposure time: 180s.
Immunohistochemistry analysis of paraffin-embedded Mouse kidney using TAZ Rabbit pAb (CAB8202) at dilution of 1:50 (40x lens). High pressure antigen retrieval performed with 0.01M Citrate buffer (pH 6.0) prior to IHC staining.
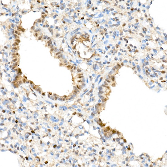
Immunohistochemistry analysis of paraffin-embedded Rat lung using TAZ Rabbit pAb (CAB8202) at dilution of 1:50 (40x lens). High pressure antigen retrieval performed with 0.01M Citrate buffer (pH 6.0) prior to IHC staining.
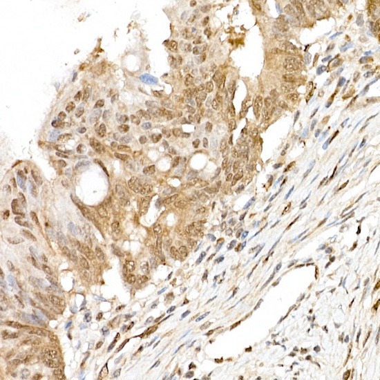
Immunohistochemistry analysis of paraffin-embedded Human colon carcinoma using TAZ Rabbit pAb (CAB8202) at dilution of 1:50 (40x lens). High pressure antigen retrieval performed with 0.01M Citrate buffer (pH 6.0) prior to IHC staining.
Immunohistochemistry analysis of paraffin-embedded Human placenta using TAZ Rabbit pAb (CAB8202) at dilution of 1:50 (40x lens). High pressure antigen retrieval performed with 0.01M Citrate buffer (pH 6.0) prior to IHC staining.
Confocal immunofluorescence analysis of U2OS cells using TAZ Rabbit pAb (CAB8202) at dilution of 1:100 (60x lens). Blue: DAPI for nuclear staining.
Immunofluorescence analysis of HeLa cells using TAZ Rabbit pAb (CAB8202) at dilution of 1:50 (40x lens). Secondary antibody: Cy3-conjugated Goat anti-Rabbit IgG (H+L) (AS007) at 1:500 dilution. Blue: DAPI for nuclear staining.