The TRIM62 Antibody (CAB15855) is a high-quality antibody developed for reliable detection and analysis of target proteins. Enables identical protein binding activity; transcription coactivator activity; and ubiquitin-protein transferase activity. Involved in several processes, including negative regulation of viral transcription; positive regulation of NF-kappaB transcription factor activity; and positive regulation of antifungal innate immune response. Is active in cytoplasm.
This antibody is validated for use in WB, IHC-P, ELISA applications and has demonstrated reactivity against Human, Mouse, Rat samples.
Product Name:
TRIM62 Antibody
SKU:
CAB15855
Size:
100μL, 20μL
Reactivity:
Human, Mouse, Rat
Conjugate:
Unconjugated
Immunogen:
Recombinant protein (or fragment).This information is considered to be commercially sensitive.
Tested Applications:
WBIHC-PELISA
Recommended Dilution:
WB
1:500 - 1:2000
IHC-P
1:50 - 1:200
ELISA
Recommended starting concentration is 1 μg/mL. Please optimize the concentration based on your specific assay requirements.
Synonyms:
DEAR1, TRIM62
Positive Sample:
A-431, Mouse brain
Cellular Localization:
Cytoplasm.
Calculated MW:
54kDa
Observed MW:
54kDa
Enables identical protein binding activity; transcription coactivator activity; and ubiquitin-protein transferase activity. Involved in several processes, including negative regulation of viral transcription; positive regulation of NF-kappaB transcription factor activity; and positive regulation of antifungal innate immune response. Is active in cytoplasm.
Purification Method
Affinity purification
Gene ID
55223
RRID
AB_2763282
Buffer Information
Store at -20℃. Avoid freeze / thaw cycles. Buffer: PBS with 0.09% sodium azide,50% glycerol,pH7.3.
Western blot analysis of various lysates using TRIM62 Rabbit pAb (CAB15855) at 1:1000 dilution. Secondary antibody: HRP-conjugated Goat anti-Rabbit IgG (H+L) (AS014) at 1:10000 dilution. Lysates/proteins: 25μg per lane. Blocking buffer: 3% nonfat dry milk in TBST. Detection: ECL Basic Kit (AbGn00020). Exposure time: 90s.
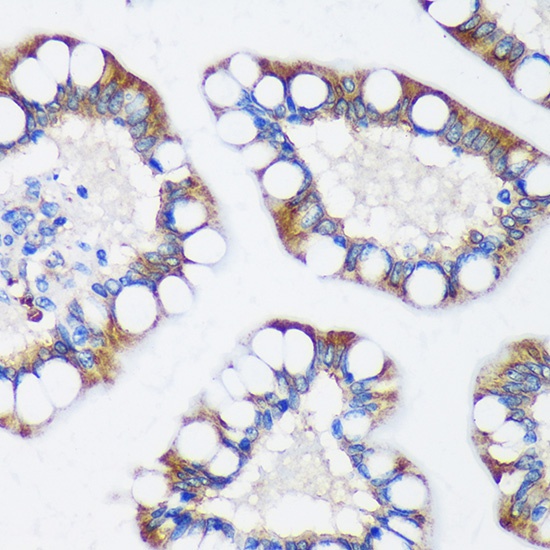
Immunohistochemistry analysis of paraffin-embedded Human colon using TRIM62 Rabbit pAb (CAB15855) at dilution of 1:100 (40x lens). Microwave antigen retrieval performed with 0.01M PBS Buffer (pH 7.2) prior to IHC staining.