The UBQLN4 Antibody (CAB15869) is a high-quality antibody developed for reliable detection and analysis of target proteins. Enables K48-linked polyubiquitin modification-dependent protein binding activity and identical protein binding activity. Involved in cellular response to DNA damage stimulus; negative regulation of double-strand break repair via homologous recombination; and regulation of cellular catabolic process. Located in several cellular components, including autophagosome; nucleoplasm; and site of DNA damage. Part of protein-containing complex. Colocalizes with cytosolic proteasome complex and nuclear proteasome complex.
This antibody is validated for use in WB, IHC-P, IF/ICC, ELISA applications and has demonstrated reactivity against Human, Mouse, Rat samples.
Product Name:
UBQLN4 Antibody
SKU:
CAB15869
Size:
100μL, 20μL
Reactivity:
Human, Mouse, Rat
Conjugate:
Unconjugated
Immunogen:
Recombinant protein (or fragment).This information is considered to be commercially sensitive.
Tested Applications:
WBIHC-PIF/ICCELISA
Recommended Dilution:
WB
1:500 - 1:1000
IHC-P
1:50 - 1:200
IF/ICC
1:50 - 1:200
ELISA
Recommended starting concentration is 1 μg/mL. Please optimize the concentration based on your specific assay requirements.
Synonyms:
A1U, A1Up, UBIN, CIP75, C1orf6, UBQLN4
Positive Sample:
BxPC-3, RD, SH-SY5Y, Mouse testis, Mouse thymus, Rat kidney
Enables K48-linked polyubiquitin modification-dependent protein binding activity and identical protein binding activity. Involved in cellular response to DNA damage stimulus; negative regulation of double-strand break repair via homologous recombination; and regulation of cellular catabolic process. Located in several cellular components, including autophagosome; nucleoplasm; and site of DNA damage. Part of protein-containing complex. Colocalizes with cytosolic proteasome complex and nuclear proteasome complex.
Purification Method
Affinity purification
Gene ID
56893
RRID
AB_2763297
Buffer Information
Store at -20℃. Avoid freeze / thaw cycles. Buffer: PBS containing 50% glycerol, preserved with proclin300 or sodium azide, pH 7.3.
Western blot analysis of various lysates using UBQLN4 Rabbit pAb (CAB15869) at 1:1000 dilution. Secondary antibody: HRP-conjugated Goat anti-Rabbit IgG (H+L) (AS014) at 1:10000 dilution. Lysates/proteins: 25μg per lane. Blocking buffer: 3% nonfat dry milk in TBST. Detection: ECL Basic Kit (AbGn00020). Exposure time: 60s.
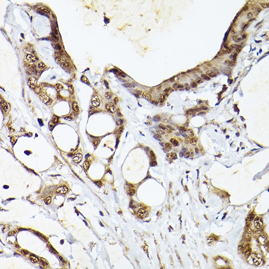
Immunohistochemistry analysis of paraffin-embedded Human colon carcinoma using UBQLN4 Rabbit pAb (CAB15869) at dilution of 1:100 (40x lens). High pressure antigen retrieval performed with 0.01M Citrate buffer (pH 6.0) prior to IHC staining.
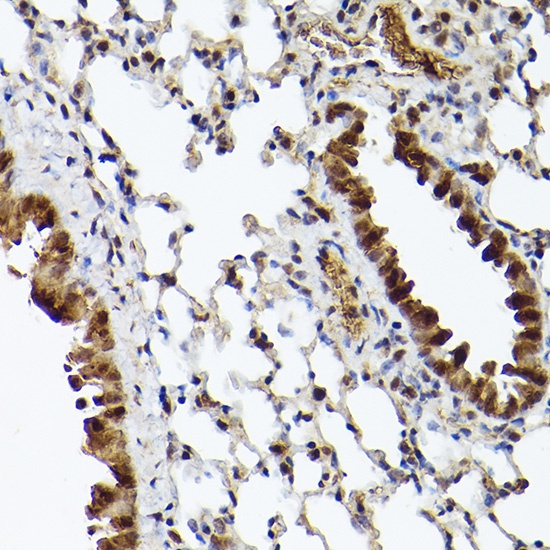
Immunohistochemistry analysis of paraffin-embedded Mouse lung using UBQLN4 Rabbit pAb (CAB15869) at dilution of 1:100 (40x lens). High pressure antigen retrieval performed with 0.01M Citrate buffer (pH 6.0) prior to IHC staining.
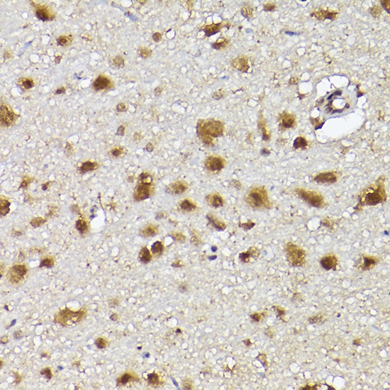
Immunohistochemistry analysis of paraffin-embedded Rat brain using UBQLN4 Rabbit pAb (CAB15869) at dilution of 1:100 (40x lens). High pressure antigen retrieval performed with 0.01M Citrate buffer (pH 6.0) prior to IHC staining.