Description
VAV2 Antibody (PACO20851)
The Vav2 Monoclonal Antibody (PAC02085) is a valuable tool for researchers studying Vav2, a guanine nucleotide exchange factor involved in cellular signaling pathways. This antibody, generated in mice, exhibits high specificity for Vav2 and is suitable for various applications including immunofluorescence, immunohistochemistry, and flow cytometry.Vav2 is known to regulate processes such as cell migration, adhesion, and cytoskeletal rearrangement, making it a key player in cell signaling and function.
Its aberrant expression has been linked to conditions like cancer and autoimmune diseases, highlighting the importance of studying its role in cellular pathways.With the Vav2 Monoclonal Antibody, researchers can accurately detect and analyze Vav2 expression in different cell types, providing valuable insights into its function and potential therapeutic targeting. This antibody is a reliable tool for advancing research in areas such as cancer biology, immunology, and drug development.
| Antibody Name: | VAV2 Antibody (PACO20851) |
| Antibody SKU: | PACO20851 |
| Size: | 50ul |
| Host Species: | Rabbit |
| Tested Applications: | ELISA, IHC |
| Recommended Dilutions: | ELISA:1:1000-1:2000, IHC:1:10-1:50 |
| Species Reactivity: | Human, Mouse |
| Immunogen: | Synthetic peptide of human VAV2 |
| Form: | Liquid |
| Storage Buffer: | -20°C, pH7.4 PBS, 0.05% NaN3, 40% Glycerol |
| Purification Method: | Antigen affinity purification |
| Clonality: | Polyclonal |
| Isotype: | IgG |
| Conjugate: | Non-conjugated |
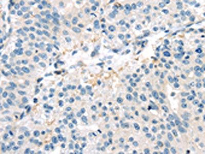
![]() | The image on the left is immunohistochemistry of paraffin-embedded Human breast cancer tissue using PACO20851(VAV2 Antibody) at dilution 1/20, on the right is treated with synthetic peptide. (Original magnification: x200). |
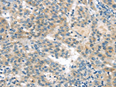
![]() | The image on the left is immunohistochemistry of paraffin-embedded Human liver cancer tissue using PACO20851(VAV2 Antibody) at dilution 1/20, on the right is treated with synthetic peptide. (Original magnification: x200). |
| Background: | VAV2 is the second member of the VAV guanine nucleotide exchange factor family of oncogenes. Unlike VAV1, which is expressed exclusively in hematopoietic cells, VAV2 transcripts were found in most tissues. Alternatively spliced transcript variants encoding different isoforms have been found for this gene. |
| Synonyms: | vav 2 guanine nucleotide exchange factor |
| UniProt Protein Function: | VAV2: a proto-oncogenic guanine nucleotide exchange factors (GEF) of the Dbl family. A GEF for the Rho family of GTP binding proteins. Expressed in most tissues. |
| UniProt Protein Details: | Protein type:GEF; GEF, Rac/Rho; Motility/polarity/chemotaxis Chromosomal Location of Human Ortholog: 9q34.2 Cellular Component: cytosol Molecular Function:guanyl-nucleotide exchange factor activity; protein binding; Rho guanyl-nucleotide exchange factor activity Biological Process: ephrin receptor signaling pathway; platelet activation; positive regulation of apoptosis; regulation of blood coagulation; regulation of cell size; regulation of gene expression; regulation of GTPase activity; regulation of small GTPase mediated signal transduction; signal transduction; vascular endothelial growth factor receptor signaling pathway |
| NCBI Summary: | VAV2 is the second member of the VAV guanine nucleotide exchange factor family of oncogenes. Unlike VAV1, which is expressed exclusively in hematopoietic cells, VAV2 transcripts were found in most tissues. Alternatively spliced transcript variants encoding different isoforms have been found for this gene. [provided by RefSeq, Aug 2008] |
| UniProt Code: | P52735 |
| NCBI GenInfo Identifier: | 212287930 |
| NCBI Gene ID: | 7410 |
| NCBI Accession: | P52735.2 |
| UniProt Secondary Accession: | P52735,Q5SYV3, Q5SYV4, Q5SYV5, Q6N012, Q6PIJ9, Q6Q317 A2RUM4, A8MQ12, B6ZDF5, |
| UniProt Related Accession: | P52735 |
| Molecular Weight: | 97,032 Da |
| NCBI Full Name: | Guanine nucleotide exchange factor VAV2 |
| NCBI Synonym Full Names: | vav guanine nucleotide exchange factor 2 |
| NCBI Official Symbol: | VAV2Â Â |
| NCBI Official Synonym Symbols: | VAV-2Â Â |
| NCBI Protein Information: | guanine nucleotide exchange factor VAV2 |
| UniProt Protein Name: | Guanine nucleotide exchange factor VAV2 |
| Protein Family: | Guanine nucleotide exchange factor |
| UniProt Gene Name: | VAV2Â Â |
| Secondary Antibody |
| Anti-HRP Goat Anti-Rabbit IgG (H+L) Antibody (CABS014) |
| Recommended Products |
| Anti-FITC Goat Anti-Rabbit IgG (H+L) Antibody (CABS011) |
| Anti-HRP-conjugated Beta Actin Antibody (CABC028) |

