The Ku70 Antibody (CAB7330) is a high-quality antibody developed for reliable detection and analysis of target proteins. The p70/p80 autoantigen is a nuclear complex consisting of two subunits with molecular masses of approximately 70 and 80 kDa. The complex functions as a single-stranded DNA-dependent ATP-dependent helicase. The complex may be involved in the repair of nonhomologous DNA ends such as that required for double-strand break repair, transposition, and V(D)J recombination. High levels of autoantibodies to p70 and p80 have been found in some patients with systemic lupus erythematosus. RRID AB_2767867 Gene ID 2547 Swiss Prot Synonym ML8; KU70; TLAA; CTC75; CTCBF; G22P1; Ku70
This antibody is validated for use in WB, IHC-P, IF/ICC, IP, ELISA applications and has demonstrated reactivity against Human, Mouse, Rat samples.
Product Name:
Ku70 Antibody
SKU:
CAB7330
Size:
100μL, 20μL
Reactivity:
Human, Mouse, Rat
Clone Number:
-
Conjugate:
Unconjugated
Immunogen:
Synthetic peptide. This information is considered to be commercially sensitive.
Tested Applications:
WBIHC-PIF/ICCIPELISA
Recommended Dilution:
WB
1:500 - 1:2000
IHC-P
1:50 - 1:100
IF
/
ICC
1:50 - 1:100
IP
0.5μg-4μg antibody for 200μg-400μg extracts of whole cells
ELISA
Recommended starting concentration is 1 μg/mL. Please optimize the concentration based on your specific assay requirements.
Synonyms:
ML8, KU70, TLAA, CTC75, CTCBF, G22P1, Ku70
Positive Sample:
COS-7, SW480, Mouse brain
Cellular Localization:
Chromosome, Nucleus.
Calculated MW:
70kDa
Observed MW:
70kDa
The p70/p80 autoantigen is a nuclear complex consisting of two subunits with molecular masses of approximately 70 and 80 kDa. The complex functions as a single-stranded DNA-dependent ATP-dependent helicase. The complex may be involved in the repair of nonhomologous DNA ends such as that required for double-strand break repair, transposition, and V(D)J recombination. High levels of autoantibodies to p70 and p80 have been found in some patients with systemic lupus erythematosus. RRID AB_2767867 Gene ID 2547 Swiss Prot Synonym ML8; KU70; TLAA; CTC75; CTCBF; G22P1; Ku70
Purification Method:
Affinity purification
Gene ID:
2547
RRID:
AB_2767867
Buffer Information:
Store at -20℃. Avoid freeze / thaw cycles. Buffer: PBS containing 50% glycerol, preserved with proclin300 or sodium azide, pH 7.3.
Western blot analysis of various lysates using Ku70 Rabbit pAb (CAB7330) at 1:1000 dilution. Secondary antibody: HRP-conjugated Goat anti-Rabbit IgG (H+L) (AS014) at 1:10000 dilution. Lysates/proteins: 25μg per lane. Blocking buffer: 3% nonfat dry milk in TBST. Detection: ECL Basic Kit (AbGn00020). Exposure time: 60s.
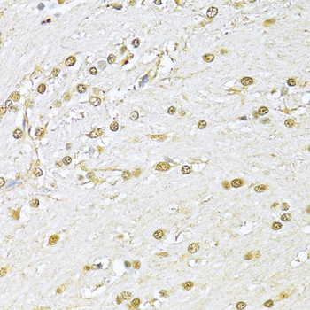
Immunohistochemistry analysis of paraffin-embedded Rat brain using Ku70 Rabbit pAb (CAB7330) at dilution of 1:100 (40x lens). Microwave antigen retrieval performed with 0.01M PBS Buffer (pH 7.2) prior to IHC staining.
Immunohistochemistry analysis of paraffin-embedded Human uterus using Ku70 Rabbit pAb (CAB7330) at dilution of 1:100 (40x lens). Microwave antigen retrieval performed with 0.01M PBS Buffer (pH 7.2) prior to IHC staining.
Immunofluorescence analysis of A549 cells using Ku70 Rabbit pAb (CAB7330). Secondary antibody: Cy3-conjugated Goat anti-Rabbit IgG (H+L) (AS007) at 1:500 dilution. Blue: DAPI for nuclear staining.
Immunoprecipitation analysis of 100 μg extracts of SW480 cells using 3 μg Ku70 antibody (CAB7330). Western blot was performed from the immunoprecipitate using Ku70 antibody (CAB7330) at a dilution of 1:1000.