ZDHHC23 Antibody is a premium polyclonal that offers outstanding performance and reliability for demanding research applications. Rigorously validated for ELISA, WB, IHC, IF, this antibody ensures consistent, reproducible results across multiple experimental platforms. Demonstrates excellent reactivity with Human, Mouse samples, providing researchers with confidence in cross-species compatibility. Conveniently packaged in 50ug format to meet your experimental needs. For optimal performance, store at -20°C or -80°C and maintains stability for 12 months. Backed by rigorous quality control testing to ensure superior performance in your critical research applications.
Product Name:
ZDHHC23 Antibody (PACO37898)
SKU:
PACO37898
Size:
50μg
Isotype:
IgG
Host Species:
Rabbit
Reactivity:
Human, Mouse
Immunogen:
Recombinant Human Palmitoyltransferase ZDHHC23 protein (187-302AA)
Western blot All lanes: ZDHHC23 antibody at 8µg/ml Lane 1: 293T whole cell lysate Lane 2: Mouse brain tissue Lane 3: A549 whole cell lysate Lane 4: Human placenta tissue Secondary Goat polyclonal to rabbit IgG at 1/10000 dilution Predicted band size: 46 kDa Observed band size: 46 kDa
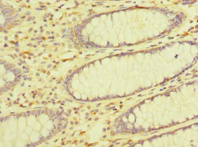
Immunohistochemistry of paraffin-embedded human colon cancer using PACO37898 at dilution of 1:100
Immunofluorescent analysis of 293T cells using PACO37898 at dilution of 1:100 and Alexa Fluor 488-congugated AffiniPure Goat Anti-Rabbit IgG(H+L)