Description
ZFAND6 Antibody (PACO52446)
The ZFAND6 Polyclonal Antibody (PAC05246) is a vital tool for researchers studying ZFAND6, a zinc finger protein that plays a key role in regulating gene expression. This antibody, produced in rabbits, exhibits high specificity and sensitivity towards ZFAND6 in human samples, and is validated for use in Western blot applications. By binding to the ZFAND6 protein, the antibody enables accurate detection and analysis in a variety of cell types, making it an excellent choice for studies in molecular biology and gene regulation.ZFAND6 is known to interact with various transcription factors and epigenetic regulators, influencing gene expression patterns and cellular processes.
Understanding the function of ZFAND6 is critical for unraveling its impact on gene regulation and its potential involvement in diseases such as cancer and developmental disorders. The ZFAND6 Polyclonal Antibody provides researchers with a reliable tool for investigating the role of ZFAND6 in cellular pathways and uncovering its potential as a therapeutic target in disease treatment strategies.
| Antibody Name: | ZFAND6 Antibody (PACO52446) |
| Antibody SKU: | PACO52446 |
| Size: | 50ug |
| Host Species: | Rabbit |
| Tested Applications: | ELISA, IHC, IF |
| Recommended Dilutions: | ELISA:1:2000-1:10000, IHC:1:20-1:200, IF:1:50-1:200 |
| Species Reactivity: | Human |
| Immunogen: | Recombinant Human AN1-type zinc finger protein 6 protein (1-208AA) |
| Form: | Liquid |
| Storage Buffer: | Preservative: 0.03% Proclin 300 Constituents: 50% Glycerol, 0.01M PBS, pH 7.4 |
| Purification Method: | >95%, Protein G purified |
| Clonality: | Polyclonal |
| Isotype: | IgG |
| Conjugate: | Non-conjugated |
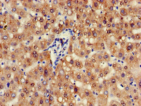
![]() | Immunohistochemistry of paraffin-embedded human liver tissue using PACO52446 at dilution of 1:100. |
![]() | Immunofluorescent analysis of A549 cells using PACO52446 at dilution of 1:100 and Alexa Fluor 488-congugated AffiniPure Goat Anti-Rabbit IgG(H+L). |
| Background: | Involved in regulation of TNF-α induced NF-kappa-B activation and apoptosis. Involved in modulation of 'Lys-48'-linked polyubiquitination status of TRAF2 and decreases association of TRAF2 with RIPK1. Required for PTS1 target sequence-dependent protein import into peroxisomes and PEX5 stability; may cooperate with PEX6. In vitro involved in PEX5 export from the cytosol to peroxisomes (By similarity). |
| Synonyms: | AN1-type zinc finger protein 6 (Associated with PRK1 protein) (Zinc finger A20 domain-containing protein 3), ZFAND6, AWP1 ZA20D3 |
| UniProt Protein Function: | Za20d3: Involved in regulation of TNF-alpha induced NF-kappa-B activation and apoptosis. Involved in modulation of 'Lys-48'- linked polyubiquitination status of TRAF2 and decreases association of TRAF2 with RIPK1. Required for PTS1 target sequence-dependent protein import into peroxisomes and PEX5 stability; may cooperate with PEX6. In vitro involved in PEX5 export from the cytosol to peroxisomes. 2 isoforms of the human protein are produced by alternative splicing. |
| UniProt Protein Details: | Protein type:Unknown function Chromosomal Location of Human Ortholog: 15q25.1 Cellular Component: cytoplasm Molecular Function:protein binding; DNA binding; zinc ion binding; polyubiquitin binding Biological Process: apoptosis; protein targeting to peroxisome; regulation of I-kappaB kinase/NF-kappaB cascade; negative regulation of apoptosis |
| UniProt Code: | Q6FIF0 |
| NCBI GenInfo Identifier: | 339276069 |
| NCBI Gene ID: | 54469 |
| NCBI Accession: | NP_001229844.1 |
| UniProt Secondary Accession: | Q6FIF0,O95792, Q9BQF7, Q9GZY3, D3DW92, D3DW94, |
| UniProt Related Accession: | Q6FIF0 |
| Molecular Weight: | 21,396 Da |
| NCBI Full Name: | AN1-type zinc finger protein 6 isoform a |
| NCBI Synonym Full Names: | zinc finger, AN1-type domain 6 |
| NCBI Official Symbol: | ZFAND6Â Â |
| NCBI Official Synonym Symbols: | AWP1; ZA20D3; ZFAND5BÂ Â |
| NCBI Protein Information: | AN1-type zinc finger protein 6; protein associated with PRK1; zinc finger, A20 domain containing 3 |
| UniProt Protein Name: | AN1-type zinc finger protein 6 |
| UniProt Synonym Protein Names: | Associated with PRK1 protein; Zinc finger A20 domain-containing protein 3 |
| Protein Family: | AN1-type zinc finger protein |
| UniProt Gene Name: | ZFAND6Â Â |
| UniProt Entry Name: | ZFAN6_HUMAN |
| ELISA Kits |
| Human ZFAND6 (AN1-type zinc finger 6) ELISA Kit |
| Human AN1-type zinc finger protein 6 (ZFAND6) ELISA Kit |
| Secondary Antibody |
| Anti-HRP Goat Anti-Rabbit IgG (H+L) Antibody (CABS014) |
| Recommended Products |
| Anti-FITC Goat Anti-Rabbit IgG (H+L) Antibody (CABS011) |
| Anti-HRP-conjugated Beta Actin Antibody (CABC028) |

