The ACE1 Antibody (CAB2805) is a high-quality antibody developed for reliable detection and analysis of target proteins. This gene encodes an enzyme involved in blood pressure regulation and electrolyte balance. It catalyzes the conversion of angiotensin I into a physiologically active peptide angiotensin II. Angiotensin II is a potent vasopressor and aldosterone-stimulating peptide that controls blood pressure and fluid-electrolyte balance. This angiotensin converting enzyme (ACE) also inactivates the vasodilator protein, bradykinin. Accordingly, the encoded enzyme increases blood pressure and is a drug target of ACE inhibitors, which are often prescribed to reduce blood pressure. This enzyme additionally plays a role in fertility through its ability to cleave and release GPI-anchored membrane proteins in spermatozoa. Many studies have associated the presence or absence of a 287 bp Alu repeat element in this gene with the levels of circulating enzyme. This polymorphism, as well as mutations in this gene, have been implicated in a wide variety of diseases including cardiovascular pathophysiologies, psoriasis, renal disease, stroke, and Alzheimer's disease. Regulation of the homologous ACE2 gene may be involved in progression of disease caused by several human coronaviruses, including SARS-CoV and SARS-CoV-2. Alternative splicing results in multiple transcript variants encoding both somatic (sACE) and male-specific testicular (tACE) isoforms. RRID AB_2764643 Gene ID 1636 Swiss Prot Synonym DCP; ACE1; DCP1; CD143
This antibody is validated for use in WB, IHC-P, ELISA applications and has demonstrated reactivity against Human, Mouse, Rat samples.
Product Name:
ACE1 Antibody
SKU:
CAB2805
Size:
100μL, 20μL
Reactivity:
Human, Mouse, Rat
Clone Number:
-
Conjugate:
Unconjugated
Immunogen:
Recombinant protein (or fragment).This information is considered to be commercially sensitive.
Tested Applications:
WBIHC-PELISA
Recommended Dilution:
WB
1:500 - 1:1000
IHC-P
1:50 - 1:200
ELISA
Recommended starting concentration is 1 μg/mL. Please optimize the concentration based on your specific assay requirements.
Synonyms:
DCP, ACE1, DCP1, CD143
Positive Sample:
Mouse lung, Mouse kidney, Rat lung
Cellular Localization:
Cell Membrane, Cytoplasm, Secreted, Single-Pass Type I Membrane Protein.
Calculated MW:
150kDa
Observed MW:
170kDa
This gene encodes an enzyme involved in blood pressure regulation and electrolyte balance. It catalyzes the conversion of angiotensin I into a physiologically active peptide angiotensin II. Angiotensin II is a potent vasopressor and aldosterone-stimulating peptide that controls blood pressure and fluid-electrolyte balance. This angiotensin converting enzyme (ACE) also inactivates the vasodilator protein, bradykinin. Accordingly, the encoded enzyme increases blood pressure and is a drug target of ACE inhibitors, which are often prescribed to reduce blood pressure. This enzyme additionally plays a role in fertility through its ability to cleave and release GPI-anchored membrane proteins in spermatozoa. Many studies have associated the presence or absence of a 287 bp Alu repeat element in this gene with the levels of circulating enzyme. This polymorphism, as well as mutations in this gene, have been implicated in a wide variety of diseases including cardiovascular pathophysiologies, psoriasis, renal disease, stroke, and Alzheimer's disease. Regulation of the homologous ACE2 gene may be involved in progression of disease caused by several human coronaviruses, including SARS-CoV and SARS-CoV-2. Alternative splicing results in multiple transcript variants encoding both somatic (sACE) and male-specific testicular (tACE) isoforms. RRID AB_2764643 Gene ID 1636 Swiss Prot Synonym DCP; ACE1; DCP1; CD143
Purification Method:
Affinity purification
Gene ID:
1636
RRID:
AB_2764643
Buffer Information:
Store at -20℃. Avoid freeze / thaw cycles. Buffer: PBS containing 50% glycerol, preserved with proclin300 or sodium azide, pH 7.3.
Western blot analysis of various lysates using ACE1 Rabbit pAb (CAB2805) at 1:1000 dilution. Secondary antibody: HRP-conjugated Goat anti-Rabbit IgG (H+L) (AS014) at 1:10000 dilution. Lysates/proteins: 25μg per lane. Blocking buffer: 3% nonfat dry milk in TBST. Detection: ECL Basic Kit (AbGn00020). Exposure time: 10s.
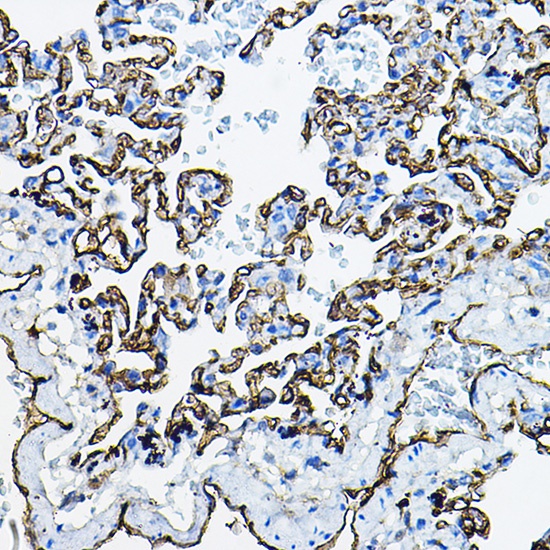
Immunohistochemistry analysis of paraffin-embedded Rat lung using ACE11 Rabbit pAb (CAB2805) at dilution of 1:100 (40x lens). High pressure antigen retrieval performed with 0.01M Citrate buffer (pH 6.0) prior to IHC staining.