Acetyl Lysine Monoclonal Antibody (MACO0144) is a premium monoclonal that offers outstanding performance and reliability for demanding research applications. Rigorously validated for ELISA, WB, IHC, this antibody ensures consistent, reproducible results across multiple experimental platforms. Conveniently packaged in 50ug format to meet your experimental needs. For optimal performance, store at -20°C or -80°C and maintains stability for 12 months. Backed by rigorous quality control testing to ensure superior performance in your critical research applications.
Product Name:
Acetyl Lysine Monoclonal Antibody (MACO0144)
SKU:
MACO0144
Size:
50μg
Isotype:
IgG
Host Species:
Mouse
Reactivity:
All
Immunogen:
Purified Protein
Immunogen Species:
All
Form:
Liquid
Tested Applications:
ELISAWBIHC
Recommended Dilution:
WB 1:500-1:5000, IHC 1:50-1:500
Storage Buffer:
PBS, pH 7.4, containing 0.5%BSA, 0.02% sodium azide as Preservative and 50% Glycerol.
Conjugate:
Non-conjugated
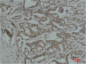
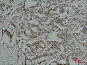
Immunohistochemical analysis of paraffin-embedded Human Breast Carcinoma using Acetyl Lysine Monoclonal Antibody.
Western blot analysis of 1) Mouse Brain Tissue, 2) Hela, 3) Hela+TSA Treated using Acetyl Lysine Monoclonal Antibody.