The Cytokeratin 12 (KRT12) Monoclonal Antibody (CAB19284) is a high-quality antibody developed for reliable detection and analysis of target proteins. KRT12 encodes the type I intermediate filament chain keratin 12, expressed in corneal epithelia. Mutations in this gene lead to Meesmann corneal dystrophy.
This antibody is validated for use in IHC-P, ELISA, IF-P applications and has demonstrated reactivity against Mouse, Rat samples.
Product Name:
Cytokeratin 12 (KRT12) Monoclonal Antibody
SKU:
CAB19284
Size:
100μL, 20μL
Reactivity:
Mouse, Rat
Clone Number:
ARC2465
Conjugate:
Unconjugated
Immunogen:
Recombinant protein (or fragment).This information is considered to be commercially sensitive.
Tested Applications:
IHC-PELISAIF-P
Recommended Dilution:
IF-P
1:50 - 1:200
IHC-P
1:50 - 1:200
ELISA
Recommended starting concentration is 1 μg/mL. Please optimize the concentration based on your specific assay requirements.
Synonyms:
K12, MECD1, Cytokeratin 12 (KRT12)
Cellular Localization:
Cytoskeleton, Cytosol, Extracellular Exosome.
Calculated MW:
54kDa
Observed MW:
Refer to figures
KRT12 encodes the type I intermediate filament chain keratin 12, expressed in corneal epithelia. Mutations in this gene lead to Meesmann corneal dystrophy.
Purification Method
Affinity purification
Gene ID
3859
Buffer Information
Store at -20℃. Avoid freeze / thaw cycles. Buffer: PBS containing 50% glycerol and 0.05% BSA, preserved with proclin300 or sodium azide, pH 7.3.
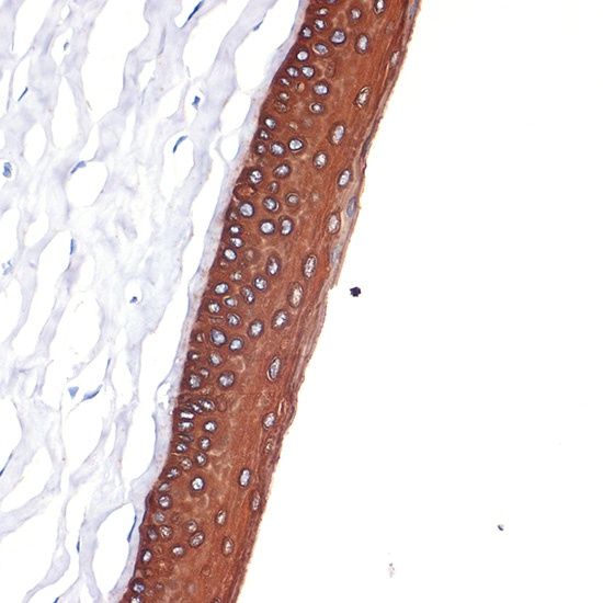
Immunohistochemistry analysis of paraffin-embedded Rat cornea using Cytokeratin 12 (KRT12) (KRT12) Rabbit mAb (CAB19284) at dilution of 1:100 (40x lens). Microwave antigen retrieval performed with 0.01M Tris/EDTA Buffer (pH 9.0) prior to IHC staining.
Immunohistochemistry analysis of paraffin-embedded Mouse cornea using Cytokeratin 12 (KRT12) (KRT12) Rabbit mAb (CAB19284) at dilution of 1:100 (40x lens). Microwave antigen retrieval performed with 0.01M Tris/EDTA Buffer (pH 9.0) prior to IHC staining.
Confocal imaging of paraffin-embedded Rat eyeball tissue using Cytokeratin 12 (KRT12) Rabbit mAb (CAB19284, dilution 1:200) followed by a further incubation with Cy3 Goat Anti-Rabbit IgG (H+L) (AS007, dilution 1:500) (Red). DAPI was used for nuclear staining (Blue). Objective: 40x. Perform high pressure antigen retrieval with 0.01 M citrate buffer (pH 6.0) prior to IF staining.