The ERp29 Monoclonal Antibody (CAB19771) is a high-quality antibody developed for reliable detection and analysis of target proteins. This gene encodes a protein which localizes to the lumen of the endoplasmic reticulum (ER). It is a member of the protein disulfide isomerase (PDI) protein family but lacks an active thioredoxin motif, suggesting that this protein does not function as a disulfide isomerase. The canonical protein dimerizes and is thought to play a role in the processing of secretory proteins within the ER. Alternative splicing results in multiple transcript variants encoding different isoforms.
This antibody is validated for use in WB, IHC-P, ELISA applications and has demonstrated reactivity against Human, Mouse, Rat samples.
Product Name:
ERp29 Monoclonal Antibody
SKU:
CAB19771
Size:
100μL, 20μL
Reactivity:
Human, Mouse, Rat
Clone Number:
ARC2295
Conjugate:
Unconjugated
Immunogen:
Recombinant protein (or fragment).This information is considered to be commercially sensitive.
Tested Applications:
WBIHC-PELISA
Recommended Dilution:
WB
1:500 - 1:2000
IHC-P
1:500 - 1:1000
ELISA
Recommended starting concentration is 1 μg/mL. Please optimize the concentration based on your specific assay requirements.
This gene encodes a protein which localizes to the lumen of the endoplasmic reticulum (ER). It is a member of the protein disulfide isomerase (PDI) protein family but lacks an active thioredoxin motif, suggesting that this protein does not function as a disulfide isomerase. The canonical protein dimerizes and is thought to play a role in the processing of secretory proteins within the ER. Alternative splicing results in multiple transcript variants encoding different isoforms.
Purification Method
Affinity purification
Gene ID
10961
Buffer Information
Store at -20℃. Avoid freeze / thaw cycles. Buffer: PBS containing 50% glycerol and 0.05% BSA, preserved with proclin300 or sodium azide, pH 7.3.
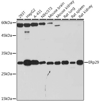
Western blot analysis of various lysates using ERp29 Rabbit mAb (CAB19771) at 1:1000 dilution. Secondary antibody: HRP-conjugated Goat anti-Rabbit IgG (H+L) (AS014) at 1:10000 dilution. Lysates/proteins: 25μg per lane. Blocking buffer: 3% nonfat dry milk in TBST. Detection: ECL Basic Kit (AbGn00020). Exposure time: 180s.
Immunohistochemistry analysis of paraffin-embedded Mouse brain tissue using ERp29 Rabbit mAb (CAB19771) at a dilution of 1:1000 (40x lens). High pressure antigen retrieval was performed with 0.01 M citrate buffer (pH 6.0) prior to IHC staining.
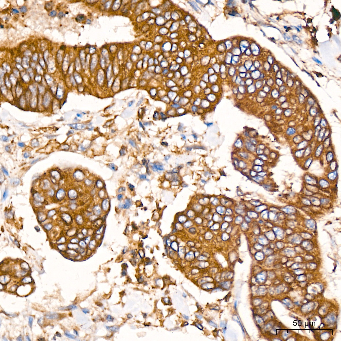
Immunohistochemistry analysis of paraffin-embedded Human colon carcinoma tissue using ERp29 Rabbit mAb (CAB19771) at a dilution of 1:1000 (40x lens). High pressure antigen retrieval was performed with 0.01 M citrate buffer (pH 6.0) prior to IHC staining.
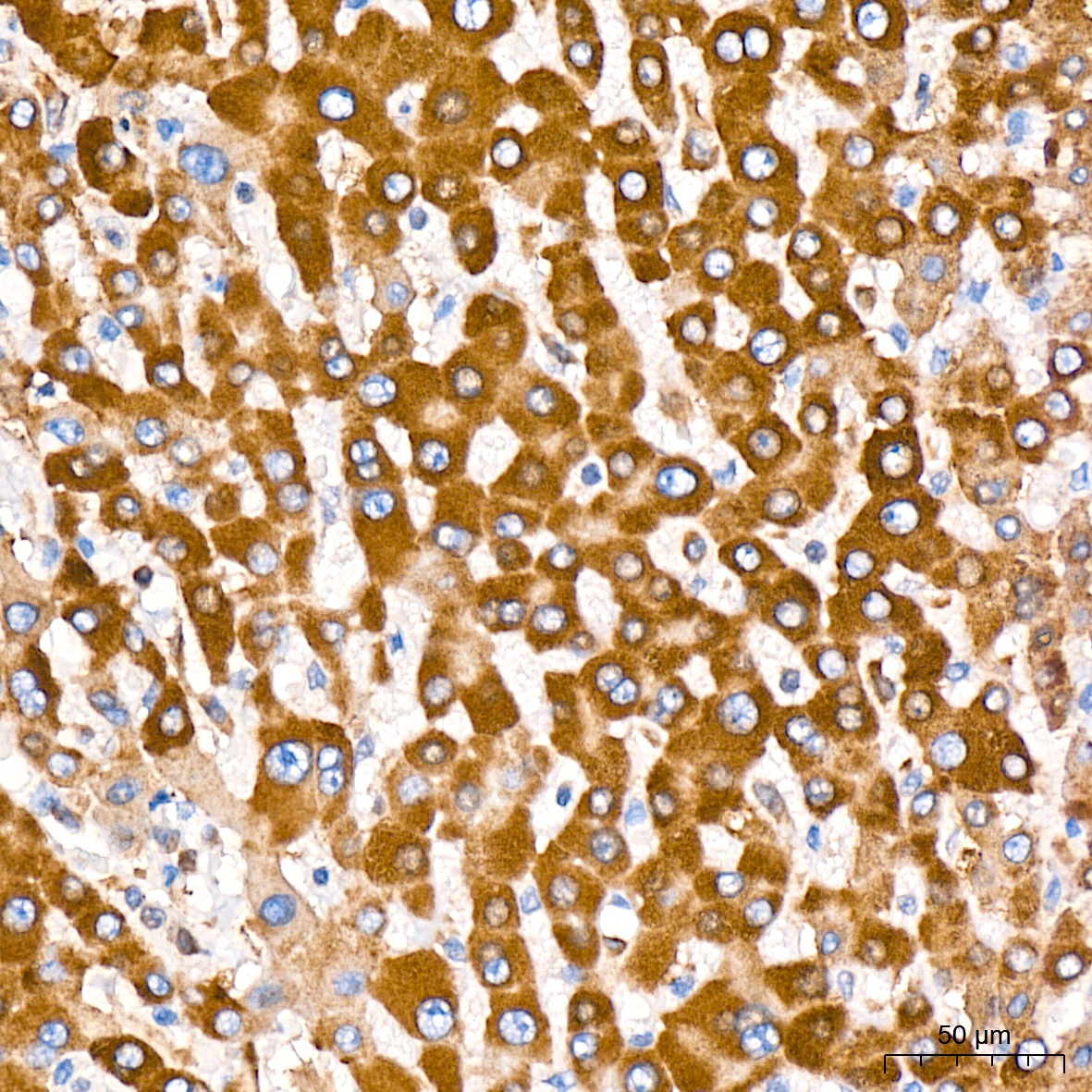
Immunohistochemistry analysis of paraffin-embedded Human liver tissue using ERp29 Rabbit mAb (CAB19771) at a dilution of 1:1000 (40x lens). High pressure antigen retrieval was performed with 0.01 M citrate buffer (pH 6.0) prior to IHC staining.