The IFNG Antibody (CAB12450) is a high-quality antibody developed for reliable detection and analysis of target proteins. This gene encodes a soluble cytokine that is a member of the type II interferon class. The encoded protein is secreted by cells of both the innate and adaptive immune systems. The active protein is a homodimer that binds to the interferon gamma receptor which triggers a cellular response to viral and microbial infections. Mutations in this gene are associated with an increased susceptibility to viral, bacterial and parasitic infections and to several autoimmune diseases.
This antibody is validated for use in WB, IHC-P, ELISA applications and has demonstrated reactivity against Human, Mouse, Rat samples.
Product Name:
IFNG Antibody
SKU:
CAB12450
Size:
100μL, 20μL
Reactivity:
Human, Mouse, Rat
Conjugate:
Unconjugated
Immunogen:
Recombinant protein (or fragment).This information is considered to be commercially sensitive.
Tested Applications:
WBIHC-PELISA
Recommended Dilution:
WB
1:2000 - 1:10000
IHC-P
1:50 - 1:200
ELISA
Recommended starting concentration is 1 μg/mL. Please optimize the concentration based on your specific assay requirements.
Synonyms:
IFG, IFI, IMD69, IFN gamma
Positive Sample:
Recombinant Human IFN-gamma Protein
Cellular Localization:
Secreted.
Calculated MW:
19kDa
Observed MW:
17kDa
This gene encodes a soluble cytokine that is a member of the type II interferon class. The encoded protein is secreted by cells of both the innate and adaptive immune systems. The active protein is a homodimer that binds to the interferon gamma receptor which triggers a cellular response to viral and microbial infections. Mutations in this gene are associated with an increased susceptibility to viral, bacterial and parasitic infections and to several autoimmune diseases.
Purification Method
Affinity purification
Gene ID
3458
RRID
AB_2759294
Buffer Information
Store at -20℃. Avoid freeze / thaw cycles. Buffer: PBS containing 50% glycerol, preserved with proclin300 or sodium azide, pH 7.3.
Western blot analysis of Recombinant Human IFN-gamma Protein (RP01038), using IFN gamma Rabbit pAb (CAB12450) at 1:9000 dilution. Secondary antibody: HRP-conjugated Goat anti-Rabbit IgG (H+L) (AS014) at 1:10000 dilution. Lysates/proteins: 1ng/0.5ng/0.25ng per lane. Blocking buffer: 3% nonfat dry milk in TBST. Detection: ECL Basic Kit (AbGn00020). Exposure time: 180s.
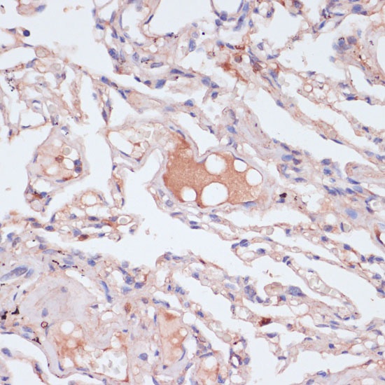
Immunohistochemistry analysis of paraffin-embedded Human lung using IFN gamma Rabbit pAb (CAB12450) at dilution of 1:100 (40x lens). Microwave antigen retrieval performed with 0.01M PBS Buffer (pH 7.2) prior to IHC staining.