The ARL4D Antibody (CAB16761) is a high-quality antibody developed for reliable detection and analysis of target proteins. ADP-ribosylation factor 4D is a member of the ADP-ribosylation factor family of GTP-binding proteins. ARL4D is closely similar to ARL4A and ARL4C and each has a nuclear localization signal and an unusually high guanine nucleotide exchange rate. This protein may play a role in membrane-associated intracellular trafficking.
This antibody is validated for use in WB, IHC-P, ELISA applications and has demonstrated reactivity against Human, Mouse, Rat samples.
Product Name:
ARL4D Antibody
SKU:
CAB16761
Size:
100μL, 20μL
Reactivity:
Human, Mouse, Rat
Conjugate:
Unconjugated
Immunogen:
Recombinant protein (or fragment).This information is considered to be commercially sensitive.
Tested Applications:
WBIHC-PELISA
Recommended Dilution:
WB
1:500 - 1:2000
IHC-P
1:50 - 1:100
ELISA
Recommended starting concentration is 1 μg/mL. Please optimize the concentration based on your specific assay requirements.
Synonyms:
ARF4L, ARL4D
Positive Sample:
HeLa, Mouse liver
Cellular Localization:
Golgi Apparatus, Lipid-Anchor, Membrane.
Calculated MW:
22kDa
Observed MW:
22kDa
ADP-ribosylation factor 4D is a member of the ADP-ribosylation factor family of GTP-binding proteins. ARL4D is closely similar to ARL4A and ARL4C and each has a nuclear localization signal and an unusually high guanine nucleotide exchange rate. This protein may play a role in membrane-associated intracellular trafficking.
Purification Method
Affinity purification
Gene ID
379
RRID
AB_2768442
Buffer Information
Store at -20℃. Avoid freeze / thaw cycles. Buffer: PBS with 0.01% thimerosal,50% glycerol,pH7.3.
Western blot analysis of various lysates using ARL4D Rabbit pAb (CAB16761) at 1:1000 dilution. Secondary antibody: HRP-conjugated Goat anti-Rabbit IgG (H+L) (AS014) at 1:10000 dilution. Lysates/proteins: 25μg per lane. Blocking buffer: 3% nonfat dry milk in TBST. Detection: ECL Basic Kit (AbGn00020). Exposure time: 5s.
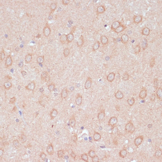
Immunohistochemistry analysis of paraffin-embedded Rat brain using ARL4D Rabbit pAb (CAB16761) at dilution of 1:100 (40x lens). Microwave antigen retrieval performed with 0.01M PBS Buffer (pH 7.2) prior to IHC staining.
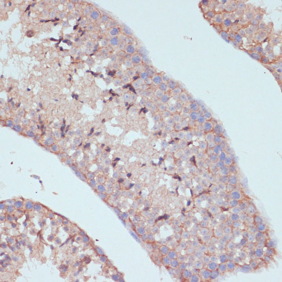
Immunohistochemistry analysis of paraffin-embedded Mouse testis using ARL4D Rabbit pAb (CAB16761) at dilution of 1:100 (40x lens). Microwave antigen retrieval performed with 0.01M PBS Buffer (pH 7.2) prior to IHC staining.