The ASCL4 Antibody (CAB14439) is a high-quality antibody developed for reliable detection and analysis of target proteins. Basic helix-loop-helix transcription factors, such as ASCL4, are essential for the determination of cell fate and the development and differentiation of numerous tissues (Jonsson et al., 2004 [PubMed 15475265]).
This antibody is validated for use in WB, IHC-P, ELISA applications and has demonstrated reactivity against Human, Mouse, Rat samples.
Product Name:
ASCL4 Antibody
SKU:
CAB14439
Size:
100μL, 20μL
Reactivity:
Human, Mouse, Rat
Conjugate:
Unconjugated
Immunogen:
Recombinant protein (or fragment).This information is considered to be commercially sensitive.
Tested Applications:
WBIHC-PELISA
Recommended Dilution:
WB
1:500 - 1:5000
IHC-P
1:50 - 1:100
ELISA
Recommended starting concentration is 1 μg/mL. Please optimize the concentration based on your specific assay requirements.
Synonyms:
ASH-4, HASH4, bHLHa44, ASCL4
Positive Sample:
Mouse brain, Mouse kidney, Rat liver
Cellular Localization:
Nucleus.
Calculated MW:
19 kDa
Observed MW:
19 kDa
Basic helix-loop-helix transcription factors, such as ASCL4, are essential for the determination of cell fate and the development and differentiation of numerous tissues (Jonsson et al., 2004 [PubMed 15475265]).
Purification Method
Affinity purification
Gene ID
121549
RRID
AB_2761309
Buffer Information
Store at -20℃. Avoid freeze / thaw cycles. Buffer: PBS containing 50% glycerol, preserved with proclin300 or sodium azide, pH 7.3.
Western blot analysis of various lysates using ASCL4 Rabbit pAb (CAB14439) at 1:1000 dilution. Secondary antibody: HRP-conjugated Goat anti-Rabbit IgG (H+L) (AS014) at 1:10000 dilution. Lysates/proteins: 25μg per lane. Blocking buffer: 3% nonfat dry milk in TBST. Detection: ECL Enhanced Kit (AbGn00021). Exposure time: 180s.
Immunohistochemistry analysis of paraffin-embedded Human lung cancer using ASCL4 Rabbit pAb (CAB14439) at dilution of 1:100 (40x lens). Microwave antigen retrieval performed with 0.01M PBS Buffer (pH 7.2) prior to IHC staining.
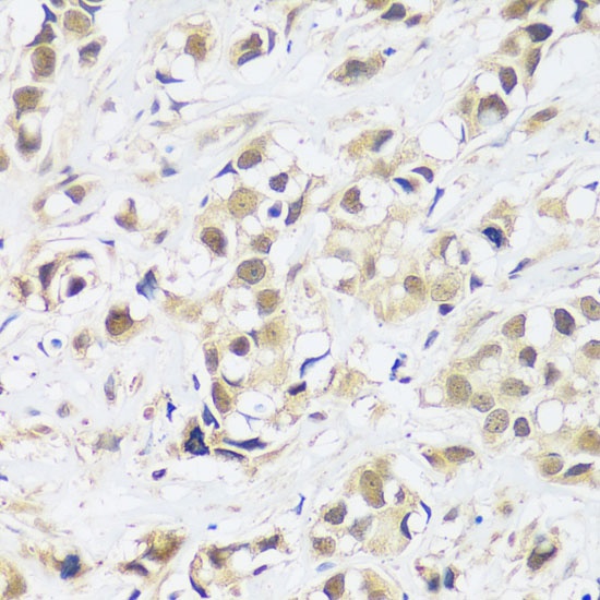
Immunohistochemistry analysis of paraffin-embedded Human breast cancer using ASCL4 Rabbit pAb (CAB14439) at dilution of 1:100 (40x lens). Microwave antigen retrieval performed with 0.01M PBS Buffer (pH 7.2) prior to IHC staining.