The BMP5 Antibody (CAB8401) is a high-quality antibody developed for reliable detection and analysis of target proteins. This gene encodes a secreted ligand of the TGF-beta (transforming growth factor-beta) superfamily of proteins. Ligands of this family bind various TGF-beta receptors leading to recruitment and activation of SMAD family transcription factors that regulate gene expression. The encoded preproprotein is proteolytically processed to generate each subunit of the disulfide-linked homodimer, which plays a role in bone and cartilage development. Polymorphisms in this gene may be associated with osteoarthritis in human patients. This gene is differentially regulated in multiple human cancers. This gene encodes distinct protein isoforms that may be similarly proteolytically processed.
This antibody is validated for use in WB, IHC-P, ELISA applications and has demonstrated reactivity against Human, Mouse, Rat samples.
Product Name:
BMP5 Antibody
SKU:
CAB8401
Size:
100μL, 20μL
Reactivity:
Human, Mouse, Rat
Conjugate:
Unconjugated
Immunogen:
Recombinant protein (or fragment).This information is considered to be commercially sensitive.
Tested Applications:
WBIHC-PELISA
Recommended Dilution:
WB
1:500 - 1:2000
IHC-P
1:50 - 1:100
ELISA
Recommended starting concentration is 1 μg/mL. Please optimize the concentration based on your specific assay requirements.
Synonyms:
BMP5
Positive Sample:
H460, LO2, SW620, 293T, mouse liver, mouse small intestine, mouse skeletal muscle, rat lung, rat liver, NCI-H460, Mouse lung, Mouse liver, Mouse small intestine
Cellular Localization:
Secreted.
Calculated MW:
52kDa
Observed MW:
52kDa
This gene encodes a secreted ligand of the TGF-beta (transforming growth factor-beta) superfamily of proteins. Ligands of this family bind various TGF-beta receptors leading to recruitment and activation of SMAD family transcription factors that regulate gene expression. The encoded preproprotein is proteolytically processed to generate each subunit of the disulfide-linked homodimer, which plays a role in bone and cartilage development. Polymorphisms in this gene may be associated with osteoarthritis in human patients. This gene is differentially regulated in multiple human cancers. This gene encodes distinct protein isoforms that may be similarly proteolytically processed.
Purification Method
Affinity purification
Gene ID
653
RRID
AB_2768601
Buffer Information
Store at -20℃. Avoid freeze / thaw cycles. Buffer: PBS containing 50% glycerol, preserved with proclin300 or sodium azide, pH 7.3.
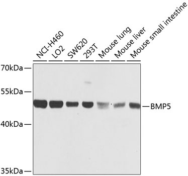
Western blot analysis of various lysates using BMP5 Rabbit pAb (CAB8401) at 1:1000 dilution. Secondary antibody: HRP-conjugated Goat anti-Rabbit IgG (H+L) (AS014) at 1:10000 dilution. Lysates/proteins: 25μg per lane. Blocking buffer: 3% nonfat dry milk in TBST. Detection: ECL Basic Kit (AbGn00020). Exposure time: 1s.
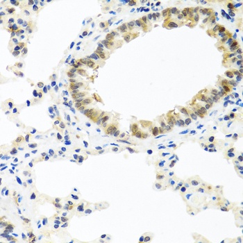
Immunohistochemistry analysis of paraffin-embedded Rat lung using BMP5 Rabbit pAb (CAB8401) at dilution of 1:100 (40x lens). Microwave antigen retrieval performed with 0.01M PBS Buffer (pH 7.2) prior to IHC staining.
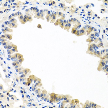
Immunohistochemistry analysis of paraffin-embedded Mouse lung using BMP5 Rabbit pAb (CAB8401) at dilution of 1:100 (40x lens). Microwave antigen retrieval performed with 0.01M PBS Buffer (pH 7.2) prior to IHC staining.