The CALM3 Antibody (CAB14526) is a high-quality antibody developed for reliable detection and analysis of target proteins. This gene encodes a member of a family of proteins that binds calcium and functions as a enzymatic co-factor. Activity of this protein is important in the regulation of the cell cycle and cytokinesis. Multiple alternatively spliced transcript variants have been observed at this gene.
This antibody is validated for use in WB, IHC-P, ELISA applications and has demonstrated reactivity against Human, Mouse, Rat samples.
Product Name:
CALM3 Antibody
SKU:
CAB14526
Size:
100μL, 20μL
Reactivity:
Human, Mouse, Rat
Conjugate:
Unconjugated
Immunogen:
Recombinant protein (or fragment).This information is considered to be commercially sensitive.
Tested Applications:
WBIHC-PELISA
Recommended Dilution:
WB
1:100 - 1:500
IHC-P
1:50 - 1:200
ELISA
Recommended starting concentration is 1 μg/mL. Please optimize the concentration based on your specific assay requirements.
This gene encodes a member of a family of proteins that binds calcium and functions as a enzymatic co-factor. Activity of this protein is important in the regulation of the cell cycle and cytokinesis. Multiple alternatively spliced transcript variants have been observed at this gene.
Purification Method
Affinity purification
Gene ID
808
RRID
AB_2761402
Buffer Information
Store at -20℃. Avoid freeze / thaw cycles. Buffer: PBS with 0.01% thimerosal,50% glycerol,pH7.3.
Western blot analysis of various lysates using CALM3 Rabbit pAb (CAB14526) at 1:500 dilution. Secondary antibody: HRP-conjugated Goat anti-Rabbit IgG (H+L) (AS014) at 1:10000 dilution. Lysates/proteins: 25μg per lane. Blocking buffer: 3% nonfat dry milk in TBST. Detection: ECL Enhanced Kit (AbGn00021). Exposure time: 180s.
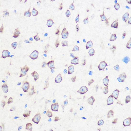
Immunohistochemistry analysis of paraffin-embedded Mouse brain using CALM3 Rabbit pAb (CAB14526) at dilution of 1:100 (40x lens). Microwave antigen retrieval performed with 0.01M Tris/EDTA Buffer (pH 9.0) prior to IHC staining.