The CDK12 Antibody (CAB14894) is a high-quality antibody developed for reliable detection and analysis of target proteins. Enables RNA polymerase II CTD heptapeptide repeat kinase activity and cyclin binding activity. Involved in phosphorylation of RNA polymerase II C-terminal domain; protein autophosphorylation; and regulation of MAP kinase activity. Located in nuclear speck. Part of cyclin K-CDK12 complex. RRID AB_2761775 Gene ID 51755 Swiss Prot Synonym CRK7; CRKR; CRKRS; CDK12
This antibody is validated for use in WB, IHC-P, ELISA applications and has demonstrated reactivity against Human, Mouse, Rat samples.
Product Name:
CDK12 Antibody
SKU:
CAB14894
Size:
100μL, 20μL
Reactivity:
Human, Mouse, Rat
Clone Number:
-
Conjugate:
Unconjugated
Immunogen:
Recombinant protein (or fragment).This information is considered to be commercially sensitive.
Tested Applications:
WBIHC-PELISA
Recommended Dilution:
WB
1:500 - 1:1000
IHC-P
1:100 - 1:500
ELISA
Recommended starting concentration is 1 μg/mL. Please optimize the concentration based on your specific assay requirements.
Synonyms:
CRK7, CRKR, CRKRS, CDK12
Positive Sample:
LNCaP, Mouse brain
Cellular Localization:
Nucleus, Nucleus Speckle.
Calculated MW:
164kDa
Observed MW:
205kDa
Enables RNA polymerase II CTD heptapeptide repeat kinase activity and cyclin binding activity. Involved in phosphorylation of RNA polymerase II C-terminal domain; protein autophosphorylation; and regulation of MAP kinase activity. Located in nuclear speck. Part of cyclin K-CDK12 complex. RRID AB_2761775 Gene ID 51755 Swiss Prot Synonym CRK7; CRKR; CRKRS; CDK12
Purification Method:
Affinity purification
Gene ID:
51755
RRID:
AB_2761775
Buffer Information:
Store at -20℃. Avoid freeze / thaw cycles. Buffer: PBS containing 50% glycerol, preserved with proclin300 or sodium azide, pH 7.3.
Western blot analysis of lysates from LNCaP cells, using CDK12 Rabbit pAb (CAB14894) at 1:1000 dilution. Secondary antibody: HRP-conjugated Goat anti-Rabbit IgG (H+L) (AS014) at 1:10000 dilution. Lysates/proteins: 25μg per lane. Blocking buffer: 3% nonfat dry milk in TBST. Detection: ECL Basic Kit (AbGn00020). Exposure time: 90s.
Western blot analysis of lysates from Mouse brain, using CDK12 Rabbit pAb (CAB14894) at 1:1000 dilution. Secondary antibody: HRP-conjugated Goat anti-Rabbit IgG (H+L) (AS014) at 1:10000 dilution. Lysates/proteins: 25μg per lane. Blocking buffer: 3% nonfat dry milk in TBST. Detection: ECL Basic Kit (AbGn00020). Exposure time: 90s.
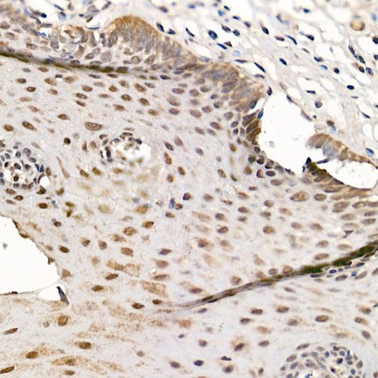
Immunohistochemistry analysis of paraffin-embedded Human esophagus using CDK12 Rabbit pAb (CAB14894) at dilution of 1:500 (40x lens). High pressure antigen retrieval performed with 0.01M Citrate buffer (pH 6.0) prior to IHC staining.