The CETP Antibody (CAB1355) is a high-quality antibody developed for reliable detection and analysis of target proteins. The protein encoded by this gene is found in plasma, where it is involved in the transfer of cholesteryl ester from high density lipoprotein (HDL) to other lipoproteins. Defects in this gene are a cause of hyperalphalipoproteinemia 1 (HALP1). Two transcript variants encoding different isoforms have been found for this gene. RRID AB_2760411 Gene ID 1071 Swiss Prot Synonym BPIFF; HDLCQ10; CETP
This antibody is validated for use in WB, IHC-P, ELISA applications and has demonstrated reactivity against Human samples.
Product Name:
CETP Antibody
SKU:
CAB1355
Size:
100μL, 20μL
Reactivity:
Human
Clone Number:
-
Conjugate:
Unconjugated
Immunogen:
Recombinant protein (or fragment).This information is considered to be commercially sensitive.
Tested Applications:
WBIHC-PELISA
Recommended Dilution:
WB
1:500 - 1:1000
IHC-P
1:50 - 1:200
ELISA
Recommended starting concentration is 1 μg/mL. Please optimize the concentration based on your specific assay requirements.
Synonyms:
BPIFF, HDLCQ10, CETP
Positive Sample:
A375
Cellular Localization:
Secreted, Extracellular Space.
Calculated MW:
55kDa
Observed MW:
75kDa
The protein encoded by this gene is found in plasma, where it is involved in the transfer of cholesteryl ester from high density lipoprotein (HDL) to other lipoproteins. Defects in this gene are a cause of hyperalphalipoproteinemia 1 (HALP1). Two transcript variants encoding different isoforms have been found for this gene. RRID AB_2760411 Gene ID 1071 Swiss Prot Synonym BPIFF; HDLCQ10; CETP
Purification Method:
Affinity purification
Gene ID:
1071
RRID:
AB_2760411
Buffer Information:
Store at -20℃. Avoid freeze / thaw cycles. Buffer: PBS containing 50% glycerol, preserved with proclin300 or sodium azide, pH 7.3.
Western blot analysis of lysates from A375 cells, using CETP Rabbit pAb (CAB1355) at 1:1000 dilution. Secondary antibody: HRP-conjugated Goat anti-Rabbit IgG (H+L) (AS014) at 1:10000 dilution. Lysates/proteins: 25μg per lane. Blocking buffer: 3% nonfat dry milk in TBST. Detection: ECL Basic Kit (AbGn00020). Exposure time: 15s.
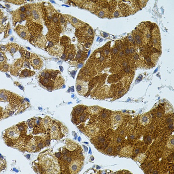
Immunohistochemistry analysis of paraffin-embedded Human stomach using CETP Rabbit pAb (CAB1355) (40x lens). Microwave antigen retrieval performed with 0.01M PBS Buffer (pH 7.2) prior to IHC staining.