The CNPY2 Antibody (CAB12197) is a high-quality antibody developed for reliable detection and analysis of target proteins. Predicted to be active in endoplasmic reticulum. RRID AB_2759078 Gene ID 10330 Swiss Prot Synonym MSAP; TMEM4; ZSIG9; HP10390; CNPY2
This antibody is validated for use in WB, IHC-P, ELISA applications and has demonstrated reactivity against Human, Mouse, Rat samples.
Product Name:
CNPY2 Antibody
SKU:
CAB12197
Size:
100μL, 20μL
Reactivity:
Human, Mouse, Rat
Clone Number:
-
Conjugate:
Unconjugated
Immunogen:
Recombinant protein (or fragment).This information is considered to be commercially sensitive.
Tested Applications:
WBIHC-PELISA
Recommended Dilution:
WB
1:500 - 1:2000
IHC-P
1:50 - 1:200
ELISA
Recommended starting concentration is 1 μg/mL. Please optimize the concentration based on your specific assay requirements.
Predicted to be active in endoplasmic reticulum. RRID AB_2759078 Gene ID 10330 Swiss Prot Synonym MSAP; TMEM4; ZSIG9; HP10390; CNPY2
Purification Method:
Affinity purification
Gene ID:
10330
RRID:
AB_2759078
Buffer Information:
Store at -20℃. Avoid freeze / thaw cycles. Buffer: PBS with 0.01% thimerosal,50% glycerol,pH7.3.
Western blot analysis of various lysates using CNPY2 Rabbit pAb (CAB12197) at 1:1000 dilution. Secondary antibody: HRP-conjugated Goat anti-Rabbit IgG (H+L) (AS014) at 1:10000 dilution. Lysates/proteins: 25μg per lane. Blocking buffer: 3% nonfat dry milk in TBST. Detection: ECL Basic Kit (AbGn00020). Exposure time: 5s.
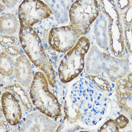
Immunohistochemistry analysis of paraffin-embedded Mouse kidney using CNPY2 Rabbit pAb (CAB12197) at dilution of 1:100 (40x lens). High pressure antigen retrieval performed with 0.01M Citrate buffer (pH 6.0) prior to IHC staining.